missing translation for 'onlineSavingsMsg'
Learn More

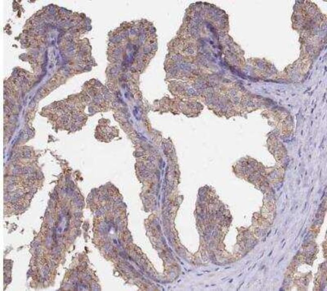
Clathrin Heavy Chain 1/CHC17 Antibody, Novus Biologicals™

Código de producto. p-200057245 Tienda Bio Techne Productos
Change view
Click to view available options
Cantidad:
0.1 mL
25 μL
Tamaño de la unidad:
0.10 ml
25 microlitros
Código de producto. Cantidad unitSize
18654778 25 μL 25 microlitros
18634666 0.1 mL 0.10 ml
2 options
Este artículo no se puede devolver. Vea la política de devoluciones

Código de producto. 18654778

Marca: Novus Biologicals NBP24929325ul

Por favor, para comprar este producto. ¿No tiene usuario web? Regístrese hoy mismo.

Este artículo no se puede devolver. Vea la política de devoluciones

Rabbit Polyclonal Antibody

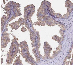
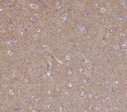
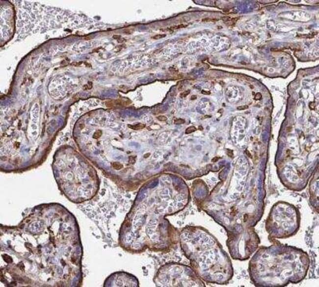
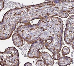
Clathrin Heavy Chain 1/CHC17 Polyclonal antibody specifically detects Clathrin Heavy Chain 1/CHC17 in Human samples. It is validated for Western Blot, Immunohistochemistry, Immunocytochemistry/ Immunofluorescence, Immunohistochemistry (Paraffin)
TRUSTED_SUSTAINABILITY

Especificaciones

Antígeno Clathrin Heavy Chain 1/CHC17
Aplicaciones Western Blot, Immunohistochemistry, Immunofluorescence, Immunohistochemistry (Paraffin)
Clasificación Polyclonal
Conjugado Unconjugated
Dilución Western Blot 0.04 - 0.4 μg/mL, Immunohistochemistry 1:500 - 1:1000, Immunocytochemistry/ Immunofluorescence 0.25-2 μg/mL, Immunohistochemistry-Paraffin 1:500 - 1:1000
Formulación PBS (pH 7.2), 40% Glycerol
Alias de gen CHC, CHC17, clathrin heavy chain 1, Clathrin heavy chain on chromosome 17, clathrin, heavy chain, clathrin, heavy chain (Hc), clathrin, heavy polypeptide (Hc), clathrin, heavy polypeptide-like 2, CLH17, CLH-17, CLTCL2, Hc, KIAA0034
Especie del huésped Rabbit
Inmunógeno This antibody was developed against a recombinant protein corresponding to amino acids: ESLRKEEEQATETQPIVYGQPQLMLTAGPSVAVPPQ
Método de purificación Immunogen affinity purified
Cantidad 25 μL
Estado normativo RUO
Disciplina de investigación Membrane Trafficking and Chaperones, Membrane Vesicle Markers
Primario o secundario Primary
ID de gen (Entrez) 1213
Especies diana Human
Contenido y almacenamiento Store at 4°C short term. Aliquot and store at -20°C long term. Avoid freeze-thaw cycles.
Formulario Purified
Isotype IgG
Mostrar más Mostrar menos
Título del producto
Seleccione un problema

Al hacer clic en Enviar, acepta que Fisher Scientific se ponga en contacto con usted en relación con los comentarios que ha proporcionado en este formulario. No compartiremos su información para ningún otro fin. Toda la información de contacto proporcionada se mantendrá de acuerdo con nuestra Política de Privacidad. Política de privacidad.