missing translation for 'onlineSavingsMsg'
Learn More

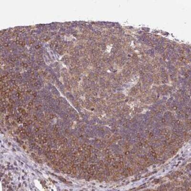
CARD11/CARMA1 Antibody, Novus Biologicals™

Código de producto. 18645865 Tienda Bio Techne Productos
Change view
Click to view available options
Cantidad:
0.1 mL
25 μL
Tamaño de la unidad:
0.10 ml
25 microlitros
Código de producto. Cantidad unitSize
18645865 25 μL 25 microlitros
18653137 0.1 mL 0.10 ml
2 options
Este artículo no se puede devolver. Vea la política de devoluciones

Código de producto. 18645865

Marca: Novus Biologicals NBP24906725ul

Por favor, para comprar este producto. ¿No tiene usuario web? Regístrese hoy mismo.

Este artículo no se puede devolver. Vea la política de devoluciones

Rabbit Polyclonal Antibody

CARD11/CARMA1 Polyclonal antibody specifically detects CARD11/CARMA1 in Human samples. It is validated for Western Blot, Immunohistochemistry, Immunohistochemistry (Paraffin)
TRUSTED_SUSTAINABILITY

Especificaciones

Antígeno CARD11/CARMA1
Aplicaciones Western Blot, Immunohistochemistry, Immunohistochemistry (Paraffin)
Clasificación Polyclonal
Conjugado Unconjugated
Dilución Western Blot 0.04-0.4 μg/mL, Immunohistochemistry 1:200 - 1:500, Immunohistochemistry-Paraffin 1:200 - 1:500
Formulación PBS (pH 7.2), 40% Glycerol
Alias de gen BIMP3card-maguk protein 1, CARD-containing MAGUK protein 1, Carma 1, CARMA1bcl10-interacting maguk protein 3, caspase recruitment domain family, member 11, caspase recruitment domain-containing protein 11, MGC133069
Especie del huésped Rabbit
Inmunógeno This antibody was developed against a recombinant protein corresponding to amino acids: ELEEKNDEMRIEMVRREACIVNLESKLRRLSKDSNNLDQSLPRNLPVTIISQDFGDASPRTNGQEADDSSTSEESPEDSKYFLPYHP
Método de purificación Immunogen affinity purified
Cantidad 25 μL
Estado normativo RUO
Disciplina de investigación Apoptosis
Primario o secundario Primary
ID de gen (Entrez) 84433
Especies diana Human
Contenido y almacenamiento Store at 4°C short term. Aliquot and store at -20°C long term. Avoid freeze-thaw cycles.
Formulario Purified
Isotype IgG
Mostrar más Mostrar menos
Título del producto
Seleccione un problema

Al hacer clic en Enviar, acepta que Fisher Scientific se ponga en contacto con usted en relación con los comentarios que ha proporcionado en este formulario. No compartiremos su información para ningún otro fin. Toda la información de contacto proporcionada se mantendrá de acuerdo con nuestra Política de Privacidad. Política de privacidad.