missing translation for 'onlineSavingsMsg'
Learn More
Learn More
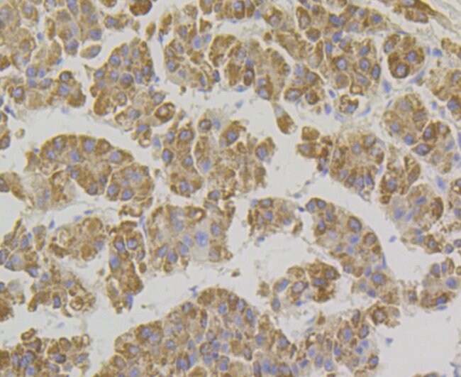
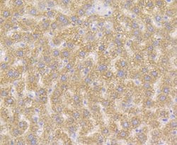
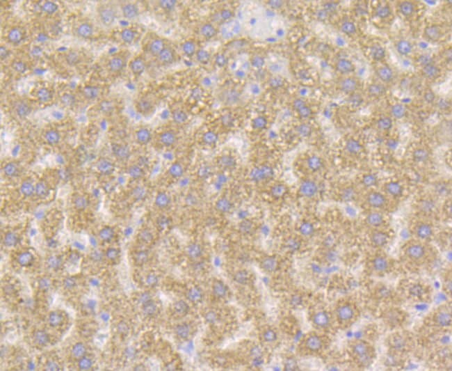
Invitrogen™ XDH Recombinant Rabbit Monoclonal Antibody (JG38-40)

Descripción
Positive Control: Human kidney tissue lysate, rat liver tissue, human liver tissue, mouse liver tissue.
XDH belongs to the group of molybdenum-containing hydroxylases involved in the oxidative metabolism of purines. The enzyme is a homodimer. This protein can be converted to xanthine oxidase by reversible sulfhydryl oxidation or by irreversible proteolytic modification. Defects in xanthine dehydrogenase cause xanthinuria, may contribute to adult respiratory stress syndrome, and may potentiate influenza infection through an oxygen metabolite-dependent mechanism.
Especificaciones
Especificaciones
| Antígeno | XDH |
| Aplicaciones | Immunohistochemistry (Paraffin), Western Blot |
| Clasificación | Recombinant Monoclonal |
| Clon | JG38-40 |
| Concentración | 1 mg/mL |
| Conjugado | Unconjugated |
| Formulación | TBS with 40% glycerol, 0.05% BSA and 0.05% sodium azide; pH 7.4 |
| génica | XDH |
| N.º de referencia del gen | P47989 |
| Alias de gen | Unknown (protein for MGC:127098); xanthine dehydrogenase; Xanthine dehydrogenase/oxidase; xanthine oxidase; Xanthine oxidoreductase; XD; Xdh; xdh antibody; XDHA; xdha antibody; XO; XOR; xor antibody; Xox1; Xox-1 |
| Mostrar más |
Título del producto
Al hacer clic en Enviar, acepta que Fisher Scientific se ponga en contacto con usted en relación con los comentarios que ha proporcionado en este formulario. No compartiremos su información para ningún otro fin. Toda la información de contacto proporcionada se mantendrá de acuerdo con nuestra Política de Privacidad. Política de privacidad.
¿Detecta una oportunidad de mejora?