missing translation for 'onlineSavingsMsg'
Learn More

WIBG Mouse anti-Human, Clone: OTI1E10, lyophilized, TrueMAB™

Código de producto. 17688871
Encompass_Preferred
Change view
Click to view available options
Cantidad:
100 μg
Tamaño de la unidad:
100 microgramos
Código de producto. Cantidad unitSize
17688871 100 μg 100 microgramos
1 options
Este artículo no se puede devolver. Vea la política de devoluciones

Código de producto. 17688871

Marca: Origene Technologies CF806508

Por favor, para comprar este producto. ¿No tiene usuario web? Regístrese hoy mismo.

Este artículo requiere una actualización de precios antes de ser solicitado.

Solicite el precio de este artículo aquí.

Este artículo no se puede devolver. Vea la política de devoluciones

Mouse Monoclonal Antibody

Reconstitute with PBS (pH 7.3) and recommend to perform another round of desalting process using Product No. 7KMWCO

Key regulator of the exon junction complex (EJC), a multiprotein complex that associates immediately upstream of the exon-exon junction on mRNAs and serves as a positional landmark for the intron exon structure of genes and directs post-transcriptional processes in the cytoplasm such as mRNA export, nonsense-mediated mRNA decay (NMD) or translation. Acts as an EJC disassembly factor, allowing translation-dependent EJC removal and recycling by disrupting mature EJC from spliced mRNAs. Its association with the 40S ribosomal subunit probably prevents a translation-independent disassembly of the EJC from spliced mRNAs, by restricting its activity to mRNAs that have been translated. Interferes with NMD and enhances translation of spliced mRNAs, probably by antagonizing EJC functions. May bind RNA; the relevance of RNA-binding remains unclear in vivo.

Especificaciones

Antígeno WIBG
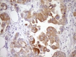
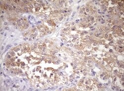
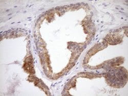
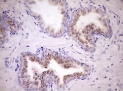
Aplicaciones Immunohistochemistry (Paraffin), Western Blot
Clasificación Monoclonal
Clon OTI1E10
Conjugado Unconjugated
Formulación PBS with 8% trehalose and no preservative; pH 7.3
génica PYM1
N.º de referencia del gen Q9BRP8
Alias de gen PYM, WIBG
Símbolos de los genes PYM1
Especie del huésped Mouse
Inmunógeno Full length human recombit protein of human WIBG produced in HEK293T cell.
Método de purificación Affinity Chromatography
Cantidad 100 μg
Estado normativo RUO
Primario o secundario Primary
ID de gen (Entrez) 84305
Especies diana Human
Contenido y almacenamiento -20° C, Avoid Freeze/Thaw Cycles
Tipo de producto Antibody
Formulario Lyophilized
Isotype IgG1
Mostrar más Mostrar menos
Título del producto
Seleccione un problema

Al hacer clic en Enviar, acepta que Fisher Scientific se ponga en contacto con usted en relación con los comentarios que ha proporcionado en este formulario. No compartiremos su información para ningún otro fin. Toda la información de contacto proporcionada se mantendrá de acuerdo con nuestra Política de Privacidad. Política de privacidad.