missing translation for 'onlineSavingsMsg'
Learn More
Learn More
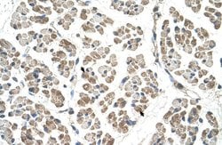
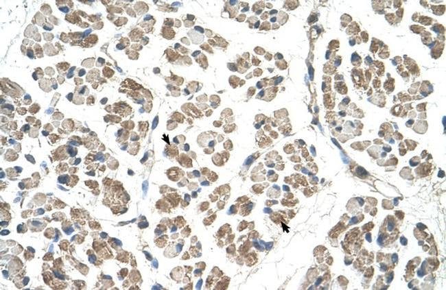
Invitrogen™ EGFL8 Polyclonal Antibody

Rabbit Polyclonal Antibody
Marca: Invitrogen™ PA542220
Este artículo no se puede devolver.
Vea la política de devoluciones
Descripción
Peptide sequence: QAGAWVRAVL PVPPEELQPE QVAELWGRGD RIESLSDQVL LLEERLGACS Sequence homology: Cow: 93%; Dog: 86%; Horse: 100%; Human: 100%; Mouse: 100%; Pig: 100%; Rabbit: 100%; Rat: 100%; Zebrafish: 90%.
The function remains unknown.
Especificaciones
| EGFL8 | |
| Polyclonal | |
| Unconjugated | |
| EGFL8 | |
| C6orf8; EGF like domain multiple 8; EGFL8; EGF-like domain 8; EGF-like domain-containing protein 8; EGF-like protein 8; EGF-like-domain protein 8; EGF-like-domain, multiple 8; Epidermal growth factor-like protein 8; multiple EGF-like domain protein 8; NG3; NG3 protein; UNQ8752/PRO29920; Vascular endothelial statin-2; VE-statin-2 | |
| Rabbit | |
| Protein A | |
| RUO | |
| 80864 | |
| -20°C, Avoid Freeze/Thaw Cycles | |
| Liquid |
| Immunohistochemistry, Western Blot | |
| 1 mg/mL | |
| PBS with 2% sucrose and 0.09% sodium azide | |
| Q99944 | |
| EGFL8 | |
| Synthetic peptide directed towards the C-terminal of human EGFL8 (aa 231-280). | |
| 100 μL | |
| Primary | |
| Human | |
| Antibody | |
| IgG |
Corrección del contenido de un producto
Proporcione sus comentarios sobre el contenido del producto rellenando el siguiente formulario.
Título del producto
¿Detecta una oportunidad de mejora?Comparta una corrección de contenido