missing translation for 'onlineSavingsMsg'
Learn More

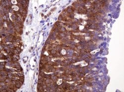
VBP1 Monoclonal Antibody (OTI1H5), TrueMAB™, OriGene

Código de producto. p-200012989
Encompass_Preferred
Change view
Click to view available options
Cantidad:
100 μL
30 μL
Tamaño de la unidad:
100 microlitros
30 microlitros
Código de producto. Cantidad unitSize
17562712 30 μL 30 microlitros
17542712 100 μL 100 microlitros
2 options
Este artículo no se puede devolver. Vea la política de devoluciones

Código de producto. 17562712

Marca: Origene Technologies TA504913S

Por favor, para comprar este producto. ¿No tiene usuario web? Regístrese hoy mismo.

Este artículo requiere una actualización de precios antes de ser solicitado.

Solicite el precio de este artículo aquí.

Este artículo no se puede devolver. Vea la política de devoluciones

Mouse Monoclonal Antibody

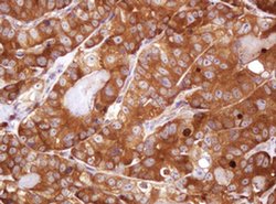
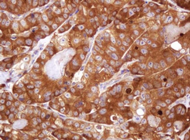
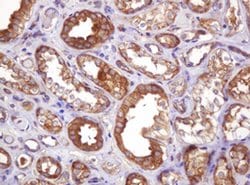
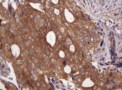
VBP1 Monoclonal antibody specifically detects VBP1 in Canine, Human, Mouse, Rat samples. It is validated for Immunohistochemistry (Paraffin), Western Blot

Especificaciones

Antígeno VBP1
Aplicaciones Immunohistochemistry (Paraffin), Western Blot
Clasificación Monoclonal
Clon OTI1H5
Concentración 1 mg/mL
Conjugado Unconjugated
Formulación PBS with 1% BSA, 50% glycerol and 0.02% sodium azide
génica Vbp1
N.º de referencia del gen P61758, P61759
Alias de gen EGK_21124; HIBBJ46; LOC703257; PFD3; Pfdn3; phosphatidylinositol-binding clathrin assembly protein; prefoldin 3; prefoldin subunit 3; prefoldin subunit 3; phosphatidylinositol-binding clathrin assembly protein; RP13-228J13.4; VBP1; VBP-1; VHL binding protein 1; VHL binding protein-1; VHL-binding protein 1; von Hippel-Lindau binding protein 1; von Hippel-Lindau-binding protein 1
Especie del huésped Mouse
Inmunógeno Full length human recombinant protein of human VBP1 produced in HEK293T cell.
Método de purificación Affinity chromatography
Cantidad 30 μL
Estado normativo RUO
Primario o secundario Primary
ID de gen (Entrez) 22327, 481089, 681825, 7411
Especies diana Canine, Human, Mouse, Rat
Contenido y almacenamiento -20° C, Avoid Freeze/Thaw Cycles
Formulario Liquid
Isotype IgG1
Mostrar más Mostrar menos
Título del producto
Seleccione un problema

Al hacer clic en Enviar, acepta que Fisher Scientific se ponga en contacto con usted en relación con los comentarios que ha proporcionado en este formulario. No compartiremos su información para ningún otro fin. Toda la información de contacto proporcionada se mantendrá de acuerdo con nuestra Política de Privacidad. Política de privacidad.