missing translation for 'onlineSavingsMsg'
Learn More
Learn More
Invitrogen™ TUBA8 Monoclonal Antibody (OTI3E10)

Mouse Monoclonal Antibody
Marca: Invitrogen™ MA525061
Este artículo no se puede devolver.
Vea la política de devoluciones
Descripción
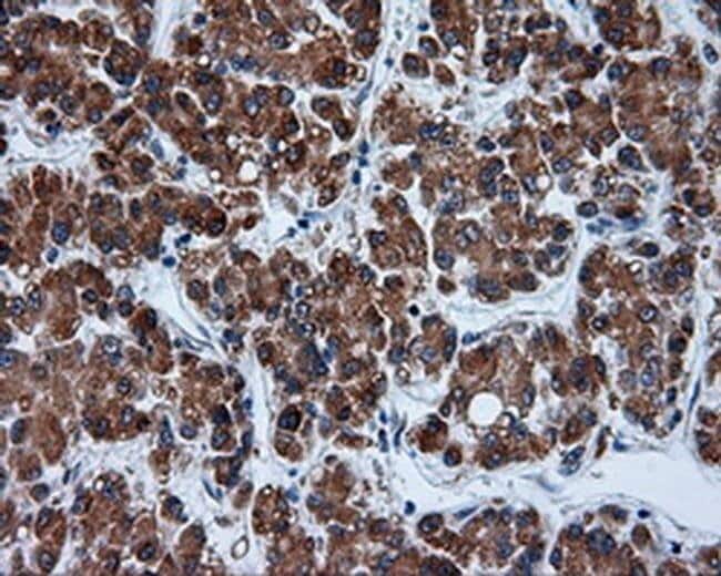
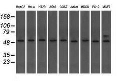
TUBA8 Monoclonal Antibody for Western Blot, ICC/IF, IHC (P), Flow
This gene encodes a member of the alpha tubulin protein family. Alpha tubulins are one of two core protein families (alpha and beta tubulins) that heterodimerize and assemble to form microtubules. Mutations in this gene are associated with polymicrogyria and optic nerve hypoplasia. Alternate splicing results in multiple transcript variants.
Especificaciones
| TUBA8 | |
| Monoclonal | |
| 0.63 mg/mL | |
| PBS with 1% BSA, 50% glycerol and 0.02% sodium azide; pH 7.3 | |
| Q9NY65 | |
| TUBA8 | |
| Full length human recombinant protein of TUBA8 produced in HEK293T cell. | |
| 100 μL | |
| Primary | |
| Human | |
| Antibody | |
| IgG2a |
| Flow Cytometry, Immunohistochemistry (Paraffin), Western Blot, Immunocytochemistry | |
| OTI3E10 | |
| Unconjugated | |
| TUBA8 | |
| alpha tubulin 8; alpha-tubulin 8; TUBA8; TUBAL2; tubulin alpha 8; tubulin alpha chain-like 2; Tubulin alpha-8 chain; tubulin, alpha 8 | |
| Mouse | |
| Affinity Chromatography | |
| RUO | |
| 51807 | |
| -20°C, Avoid Freeze/Thaw Cycles | |
| Liquid |
Corrección del contenido de un producto
Proporcione sus comentarios sobre el contenido del producto rellenando el siguiente formulario.
Título del producto
¿Detecta una oportunidad de mejora?Comparta una corrección de contenido