missing translation for 'onlineSavingsMsg'
Learn More
Learn More
Invitrogen™ TRF2 Recombinant Rabbit Monoclonal Antibody (JE37-57)

Descripción
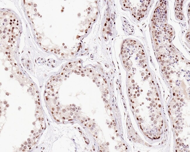
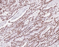
Positive control: SiHa cell lysate, Jurkat cell lysate, human colon carcinoma tissue, human testis tissue, SiHa. Predicted band size: 60 kDa Subcellular Location: Nucleus, Chromosome, telomere.
TRF2 is a ubiquitously expressed protein that is implicated in the control of telomere length. TRF2, like TRF1 contains a Myb-related DNA binding motif. It binds to duplex TTAGGG repeats and is localized to all human telomeres in metaphase chromosomes. TRF2 is thought to protect chromosome ends by maintaining the correct structure at telomere termini. The use of mutant forms of TRF2 has implicated a role for TRF2 in the prevention of senescence in primary human cells. Recently, it has been shown that inhibition of TRF2 resulted in apoptosis in a subset of mammalian cell types.
Especificaciones
Especificaciones
| Antígeno | TRF2 |
| Aplicaciones | Immunohistochemistry (Paraffin), Western Blot, Immunocytochemistry |
| Clasificación | Recombinant Monoclonal |
| Clon | JE37-57 |
| Concentración | 1 mg/mL |
| Conjugado | Unconjugated |
| Formulación | TBS with 0.05% BSA, 40% glycerol and 0.05% sodium azide; pH 7.4 |
| génica | TERF2 |
| N.º de referencia del gen | Q15554 |
| Alias de gen | Telomeric DNA-binding protein; telomeric repeat binding factor 2; telomeric repeat binding protein 2; telomeric repeat-binding factor 2; TERF2; TRBF2; TRF2; TTAGGG repeat-binding factor 2 |
| Mostrar más |
Título del producto
Al hacer clic en Enviar, acepta que Fisher Scientific se ponga en contacto con usted en relación con los comentarios que ha proporcionado en este formulario. No compartiremos su información para ningún otro fin. Toda la información de contacto proporcionada se mantendrá de acuerdo con nuestra Política de Privacidad. Política de privacidad.
¿Detecta una oportunidad de mejora?