missing translation for 'onlineSavingsMsg'
Learn More
Learn More
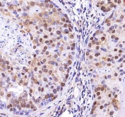
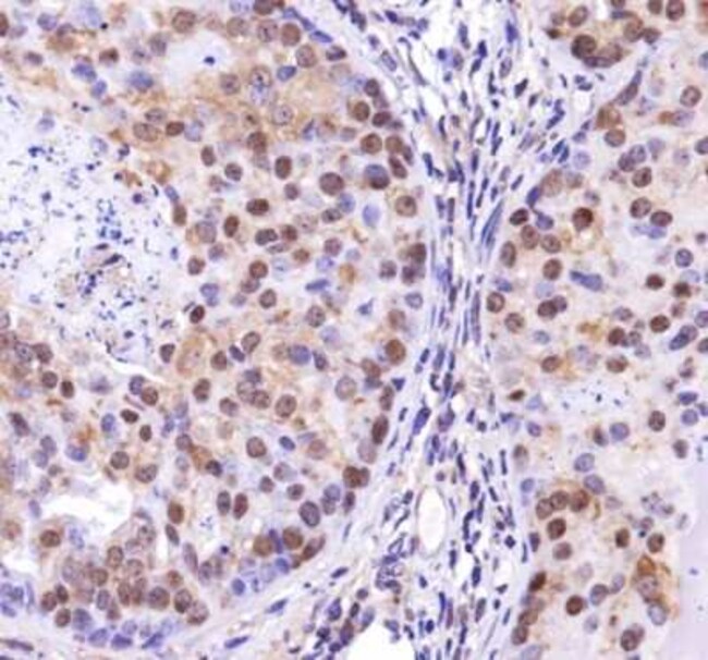
Invitrogen™ TP53INP2 Polyclonal Antibody

Rabbit Polyclonal Antibody
Marca: Invitrogen™ PA572961
Este artículo no se puede devolver.
Vea la política de devoluciones
Descripción
Immunogen has 81% identity to rat. Prior to immunostaining paraffin tissues, antigen retrieval with sodium citrate buffer (pH 6.0) is recommended.
TP53INP2 (tumor protein p53 inducible nuclear protein 2), also known as DOR or PINH, is a 220 amino acid nuclear protein that is expressed in developing murine brain and spinal cord, as well as in the sensory and motor neuron tracts of the peripheral nervous system. A novel protein involved in the autophagy of mammalian cells, TP53INP2 translocates from the nucleus to the autophagosome structures after activation of autophagy by rapamycin or starvation. Necessary for autophagosome development and considered a scaffold protein, TP53INP2 recruits LC3 and/or LC3-related proteins, such as GABARAP and GABARAP-like2, to the autophagosome membrane by interacting with the transmembrane protein TMEM49. The gene encoding TP53INP2 is located on human chromosome 20, which is comprised of approximately 2% of the human genome and contains nearly 63 million bases that encode over 600 genes.
Especificaciones
| TP53INP2 | |
| Polyclonal | |
| Unconjugated | |
| TP53INP2 | |
| 1110029F20Rik; C20orf110; diabetes and obesity regulated; diabetes and obesity-regulated; Diabetes and obesity-regulated gene; Diabetes and obesity-regulated protein; dJ1181N3.1; DOR; p53-inducible protein U; PIG-U; PINH; TP53INP2; transformation related protein 53 inducible nuclear protein 2; Trp53inp2; tumor protein p53 inducible nuclear protein 2; tumor protein p53-inducible nuclear protein 2 | |
| Rabbit | |
| Antigen affinity chromatography | |
| RUO | |
| 58476, 68728 | |
| Store at 4°C short term. For long term storage, store at -20°C, avoiding freeze/thaw cycles. | |
| Liquid |
| Immunohistochemistry (Paraffin), Immunocytochemistry | |
| 0.6 mg/mL | |
| PBS with 30% glycerol and 0.05% sodium azide | |
| Q8CFU8, Q8IXH6 | |
| TP53INP2, Trp53inp2 | |
| A genomic peptide made to a C-terminal region of the human TP53INP2 protein (within residues 100-220). | |
| 100 μL | |
| Primary | |
| Human, Mouse | |
| Antibody | |
| IgG |
Corrección del contenido de un producto
Proporcione sus comentarios sobre el contenido del producto rellenando el siguiente formulario.
Título del producto
¿Detecta una oportunidad de mejora?Comparta una corrección de contenido