missing translation for 'onlineSavingsMsg'
Learn More

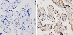
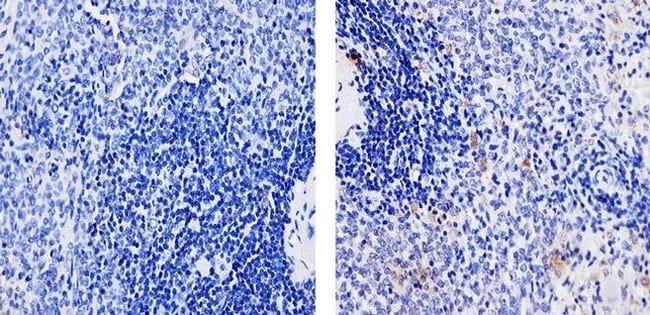
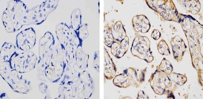
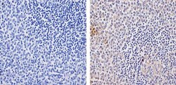
Invitrogen™ TLR4 Recombinant Superclonal™ Antibody (20HCLC)

Código de producto. 15347234
Change view
Click to view available options
Cantidad:
100 μg
Tamaño de la unidad:
100 microgramos
1 product options available for selection
Product selection table with 1 available options. Use arrow keys to navigate and Enter or Space to select.
Código de producto. Cantidad unitSize
15347234 100 μg 100 microgramos
Use arrow keys to navigate between rows. Press Enter or Space to select a product option. 1 options available.
1 options
Este artículo no se puede devolver. Vea la política de devoluciones
Código de producto. 15347234 Proveedor Invitrogen™ N.º de proveedor 710185

Por favor, para comprar este producto. ¿No tiene usuario web? Regístrese hoy mismo.

Este artículo no se puede devolver. Vea la política de devoluciones

Rabbit Recombinant Superclonal Antibody

Recombinant rabbit Superclonal™ antibodies are unique offerings from Thermo Fisher Scientific. They are comprised of a selection of multiple different recombinant monoclonal antibodies, providing the best of both worlds - the sensitivity of polyclonal antibodies with the specificity of monoclonal antibodies - all delivered with the consistency only found in a recombinant antibody. While functionally the same as a polyclonal antibody - recognizing multiple epitope sites on the target and producing higher detection sensitivity for low abundance targets - a recombinant rabbit Superclonal™ antibody has a known mixture of light and heavy chains. The exact population can be produced in every lot, circumventing the biological variability typically associated with polyclonal antibody production. Note: Formerly called 'Recombinant polyclonal antibody', this product is now rebranded as 'Recombinant Superclonal™ antibody'. The physical product and the performance remain unchanged.

TLR4 is member of the Toll like receptor (TLR) family which plays a fundamental role in pathogen recognition and activation of innate immunity. TLRs are highly conserved from Drosophila to humans and share structural and functional similarities. This receptor is most abundantly expressed in placenta, and in myelomonocytic subpopulation of the leukocytes. Mammalian cells respond to LPS by activating TLR4. TLR4 belongs to the multi-protein complex of lipopolysaccharide (LPS) receptor, containing CD14, LY96 and TLR4, and is involved in signal transduction events induced by lipopolysaccharide (LPS) found in most gram-negative bacteria. TLR4 aids in the recognition of pathogen-associated molecular patterns (PAMPs) that are expressed on infectious agents, and mediate the production of cytokines necessary for the development of effective immunity. The various TLRs exhibit different patterns of expression. Mutations in the TLR4 gene have been associated with differences in LPS responsiveness. Also, several transcript variants of the TLR4 gene have been found, but the protein coding potential of most of them is uncertain. TLR4 is expressed by peripheral blood monocytes and a small population of B-cells and is also expressed in human placenta. Studies with TLR4-deficient mice indicate that the main ligand for TLR is lipopolysaccharide. Consequently, these mice also showed increased susceptibility to Gram-negative sepsis.
TRUSTED_SUSTAINABILITY

Especificaciones

Antígeno TLR4
Aplicaciones Immunohistochemistry (Paraffin), Western Blot, Immunocytochemistry
Clasificación Recombinant Superclonal
Clon 20HCLC
Concentración 0.5 mg/mL
Conjugado Unconjugated
Formulación PBS with 0.09% sodium azide
génica TLR4
N.º de referencia del gen O00206, Q9QUK6
Alias de gen ARMD10; CD284; EGK_07381; homolog of Drosophila toll; hToll; lipopolysaccharide response; Lps; Ly87; Ran/M1; Rasl2-8; Tlr4; TLR-4; TOLL; toll like receptor 4; toll/interleukin-l receptor (TIR) domain; toll4; toll-like receptor 4; toll-like receptor 4 immunity-related protein; Toll-like receptor 4-like protein; Toll-like receptor4 protein
Símbolos de los genes TLR4
Especie del huésped Rabbit
Inmunógeno Peptide corresponding to amino acids 816-830 of human Toll-like receptor 4.
Método de purificación Protein A
Cantidad 100 μg
Estado normativo RUO
Primario o secundario Primary
ID de gen (Entrez) 21898, 7099
Especies diana Human, Mouse
Contenido y almacenamiento Store at 4°C short term. For long term storage, store at -20°C, avoiding freeze/thaw cycles.
Tipo de producto Antibody
Formulario Liquid
Isotype IgG
Mostrar más Mostrar menos
Título del producto
Seleccione un problema

Al hacer clic en Enviar, acepta que Fisher Scientific se ponga en contacto con usted en relación con los comentarios que ha proporcionado en este formulario. No compartiremos su información para ningún otro fin. Toda la información de contacto proporcionada se mantendrá de acuerdo con nuestra Política de Privacidad. Política de privacidad.