missing translation for 'onlineSavingsMsg'
Learn More
Learn More
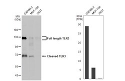
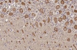
Invitrogen™ TLR3 Recombinant Rabbit Monoclonal Antibody (HL2314)

Descripción
TLR3 Recombinant Monoclonal Antibody for Western Blot, IHC (P)
TLR3 (Toll-like receptor 3, CD283) is a member of the Toll-like receptor (TLR) family which plays a fundamental role in pathogen recognition and activation of innate immunity. TLRs are highly conserved from drosophila to humans and share structural and functional similarities. TLRs recognize pathogen-associated molecular patterns (PAMPs) that are expressed on infectious agents, and mediate the production of cytokines necessary for the development of effective immunity. The various TLRs exhibit different patterns of expression. TLR3 is most abundantly expressed in placenta and pancreas, and is restricted to the dendritic subpopulation of the leukocytes. TLR3 recognizes dsRNA associated with viral infection, and induces the activation of NF-kappaB and the production of type I interferons. Further, TLR3 may play a role in host defense against viruses, and the use of alternative polyadenylation sites to generate different length transcripts has been noted for the TLR3 gene. Like its counterparts in Drosophila, TLRs signal through adaptor molecules and could constitute an important and unrecognized component of innate immunity in humans. The TLR family is a phylogenetically conserved mediator of innate immunity that is essential for microbial recognition. TLRs characterized so far activate the MyD88/interleukin-1 receptor-associated kinase (IRAK) signaling pathway. TLR3 is the only human TLR which does not utilize MyD88 as an adaptor molecule instead utilizing TRIF in a signaling path which results in downstream activation of IRF-3 and NF-kB. TLR3 activation leads not only to Type I interferon induction but also to other inflammatory cytokines which result in DC maturation. TLR3 is known to recognize viral double-stranded (ds) RNA, a molecular pattern associated with viral infection. Recently it has been shown to recognize viruses such as Influenza A and West Nile Virus and can mediate entry of at least West Nile Virus.
Especificaciones
Especificaciones
| Antígeno | TLR3 |
| Aplicaciones | Immunohistochemistry (Paraffin), Western Blot |
| Clasificación | Recombinant Monoclonal |
| Clon | HL2314 |
| Concentración | 1 mg/mL |
| Conjugado | Unconjugated |
| Formulación | PBS with no preservative |
| génica | TLR3 |
| N.º de referencia del gen | O15455, Q99MB1 |
| Alias de gen | AI957183; CD283; IIAE2; TLR 3; TLR3; TLR-3; toll like receptor 3; toll-like receptor 3; toll-like receptor 3 variant 1 |
| Mostrar más |
Título del producto
Al hacer clic en Enviar, acepta que Fisher Scientific se ponga en contacto con usted en relación con los comentarios que ha proporcionado en este formulario. No compartiremos su información para ningún otro fin. Toda la información de contacto proporcionada se mantendrá de acuerdo con nuestra Política de Privacidad. Política de privacidad.
¿Detecta una oportunidad de mejora?