missing translation for 'onlineSavingsMsg'
Learn More
Learn More
Invitrogen™ TAP2 Polyclonal Antibody

Descripción
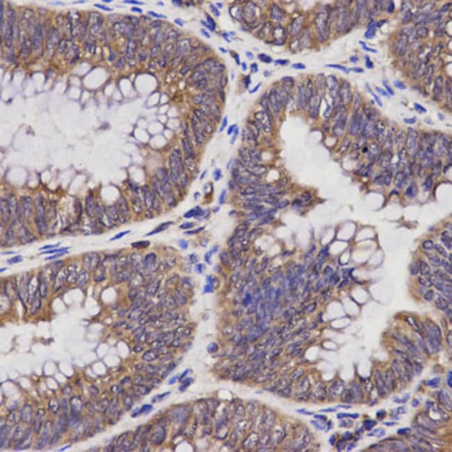
This antibody detects endogenous protein at a molecular weight of 72 kDa. Purity is >95% by SDS-PAGE.
The membrane-associated protein encoded by this gene is a member of the superfamily of ATP-binding cassette (ABC) transporters. ABC proteins transport various molecules across extra- and intra-cellular membranes. ABC genes are divided into seven distinct subfamilies (ABC1, MDR/TAP, MRP, ALD, OABP, GCN20, White). This protein is a member of the MDR/TAP subfamily. Members of the MDR/TAP subfamily are involved in multidrug resistance. This gene is located 7 kb telomeric to gene family member ABCB2. The protein encoded by this gene is involved in antigen presentation. This protein forms a heterodimer with ABCB2 in order to transport peptides from the cytoplasm to the endoplasmic reticulum. Mutations in this gene may be associated with ankylosing spondylitis, insulin-dependent diabetes mellitus, and celiac disease. Alternative splicing of this gene produces two products which differ in peptide selectivity and level of restoration of surface expression of MHC class I molecules.
Especificaciones
Especificaciones
| Antígeno | TAP2 |
| Aplicaciones | Immunohistochemistry (Paraffin), Western Blot, Immunocytochemistry |
| Clasificación | Polyclonal |
| Concentración | 1 mg/mL |
| Conjugado | Unconjugated |
| Formulación | PBS with 50% glycerol and 0.02% sodium azide; pH 7.2 |
| génica | TAP2 |
| N.º de referencia del gen | P36371, P36372, Q03519 |
| Alias de gen | ABC transporter, MHC 2; ABC18; ABCB3; AI462429; Antigen peptide transporter 2; APT2; ATP dependent transport protein family member; ATP-binding cassette sub-family B member 3; ATP-binding cassette, sub-family B (MDR/TAP), member 3; Cim; D6S217E; Ham2; Ham-2; Histocompatibility antigen modifier 2; jas; MTP2; Peptide supply factor 2; peptide transporter involved in antigen processing 2; Peptide transporter PSF2; Peptide transporter TAP2; PSF2; PSF-2; Really interesting new gene 11 protein; RING11; TAP2; Tap-2; Transporter 2 ABC (ATP binding cassette); transporter 2 ATP-binding cassette sub-family B; transporter 2, ABC (ATP binding cassette); transporter 2, ATP binding cassette subfamily B member; transporter 2, ATP-binding cassette, sub-family B (MDR/TAP); Y1 |
| Símbolos de los genes | TAP2 |
| Mostrar más |
Título del producto
Al hacer clic en Enviar, acepta que Fisher Scientific se ponga en contacto con usted en relación con los comentarios que ha proporcionado en este formulario. No compartiremos su información para ningún otro fin. Toda la información de contacto proporcionada se mantendrá de acuerdo con nuestra Política de Privacidad. Política de privacidad.
¿Detecta una oportunidad de mejora?