missing translation for 'onlineSavingsMsg'
Learn More
Learn More
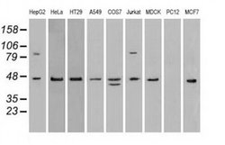
Invitrogen™ SSB Monoclonal Antibody (OTI9D6)

Mouse Monoclonal Antibody
Marca: Invitrogen™ MA524921
Este artículo no se puede devolver.
Vea la política de devoluciones
Descripción
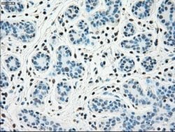
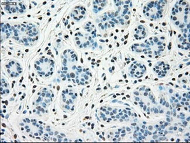
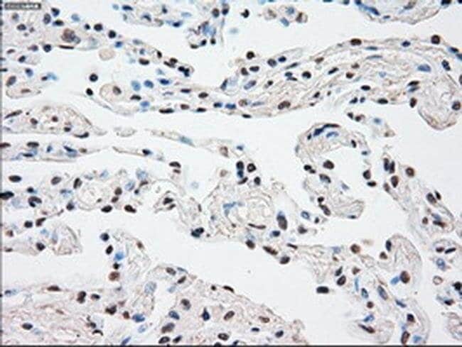
SSB Monoclonal Antibody for Western Blot, ICC/IF, IHC (P), Flow, IP
La is involved in diverse aspects of RNA metabolism, including binding and protecting 3-prime UUU(OH) elements of newly RNA polymerase III-transcribed RNA, processing 5-prime and 3-prime ends of pre-tRNA precursors, acting as an RNA chaperone, and binding viral RNAs associated with hepatitis C virus. La protein was originally defined by its reactivity with autoantibodies from patients with Sjogren syndrome and systemic lupus erythematosus.
Especificaciones
| SSB | |
| Monoclonal | |
| 0.63 mg/mL | |
| PBS with 1% BSA, 50% glycerol and 0.02% sodium azide; pH 7.3 | |
| P05455 | |
| SSB | |
| Full-length protein expressed in 293T cell transfected with human SSB expression vector. | |
| 100 μL | |
| Primary | |
| Human, Canine, Monkey | |
| Antibody | |
| IgG3 |
| Flow Cytometry, Immunohistochemistry (Paraffin), Immunoprecipitation, Western Blot, Immunocytochemistry | |
| OTI9D6 | |
| Unconjugated | |
| SSB | |
| autoantigen La; La; la autoantigen; La autoantigen homolog; La protein; la ribonucleoprotein; La ribonucleoprotein domain family, member 3; La/SSB; LARP3; lupus La antigen; lupus La protein; Lupus La protein homolog; Lupus LA protein homolog (LA ribonucleoprotein) (LA autoantigen homolog); lupus La protein-like; mRNA for autoantigen; OTTHUMP00000204777; sjoegren syndrome type B antigen; Sjogren syndrome antigen B; Sjogren syndrome antigen B (autoantigen La); small RNA binding exonuclease protection factor La; Ssb; SS-B; SS-B/La protein | |
| Mouse | |
| Affinity Chromatography | |
| RUO | |
| 478787, 6741 | |
| -20°C, Avoid Freeze/Thaw Cycles | |
| Liquid |
Product Content Correction
Your input is important to us. Please complete this form to provide feedback related to the content on this product.
Product Title
Spot an opportunity for improvement?Share a Content Correction