missing translation for 'onlineSavingsMsg'
Learn More
Learn More
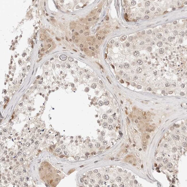
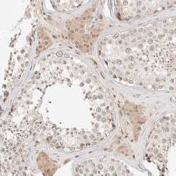
Invitrogen™ RPS6KL1 Polyclonal Antibody

Rabbit Polyclonal Antibody
Marca: Invitrogen™ PA555690
Este artículo no se puede devolver.
Vea la política de devoluciones
Descripción
Immunogen sequence: SQAHVYLEQI RNRVALGVPD MTKRDYLVDA ATQIRLALER DVSEDYEAAF NHYQNGVDVL LRGIHVDPNK ERRE Highest antigen sequence identity to the following orthologs: Mouse - 89%, Rat - 85%.
RPS6KL1 (ribosomal protein S6 kinase-like 1) is a 549 amino acid protein that belongs to the Ser/Thr protein kinase family, S6 kinase subfamily and protein kinase superfamily. Existing as three alternatively spliced isoforms, RPS6KL1 contains one MIT domain and a protein kinase domain. The gene encoding RPS6KL1 maps to human chromosome 14, which houses over 700 genes and comprises nearly 3.5% of the human genome.
Especificaciones
| RPS6KL1 | |
| Polyclonal | |
| Unconjugated | |
| RPS6KL1 | |
| A830084F09Rik; AW046440; I79_009419; ribosomal protein S6 kinase like 1; ribosomal protein S6 kinase-like 1; Rps6kl1; RSKL2 | |
| Rabbit | |
| Antigen Affinity Chromatography | |
| RUO | |
| 83694 | |
| Store at 4°C short term. For long term storage, store at -20°C, avoiding freeze/thaw cycles. | |
| Liquid |
| Immunohistochemistry (Paraffin), Western Blot | |
| 0.1 mg/mL | |
| PBS with 40% glycerol and 0.02% sodium azide; pH 7.2 | |
| Q9Y6S9 | |
| RPS6KL1 | |
| Recombinant protein corresponding to Human RPS6KL1. Recombinant protein control fragment (Product #RP-95246). | |
| 100 μL | |
| Primary | |
| Human | |
| Antibody | |
| IgG |
Corrección del contenido de un producto
Proporcione sus comentarios sobre el contenido del producto rellenando el siguiente formulario.
Título del producto
¿Detecta una oportunidad de mejora?Comparta una corrección de contenido