Learn More
Invitrogen™ RNH1 Polyclonal Antibody

Rabbit Polyclonal Antibody
Marca: Invitrogen™ PA596272
Descripción
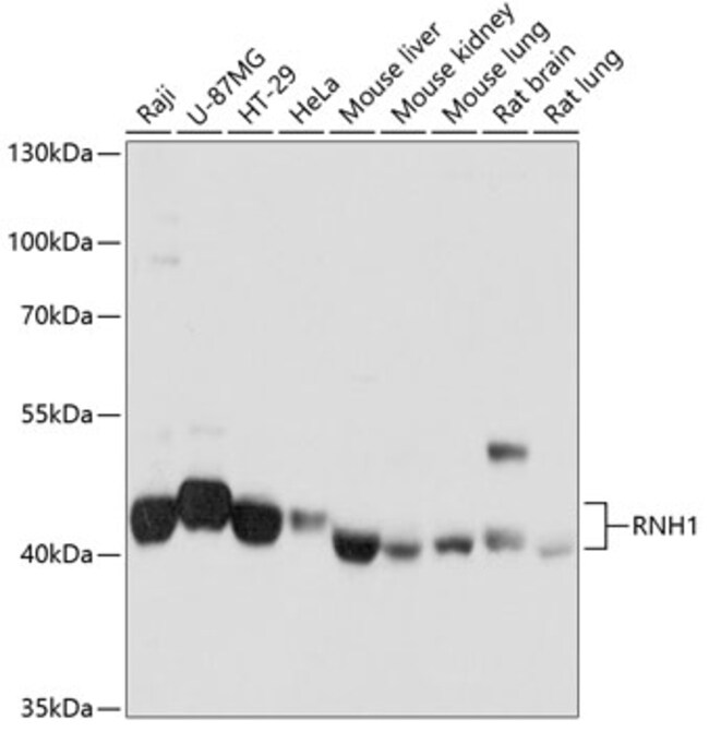
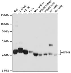
Immunogen sequence: EALKLESCGV TSDNCRDLCG IVASKASLRE LALGSNKLGD VGMAELCPGL LHPSSRLRTL WIWECGITAK GCGDLCRVLR AKESLKELSL AGNELGDEGA RLLCETLLEP GCQLESLWVK SCSFTAACCS HFSSVLAQNR FLLELQISNN RLEDAGVREL CQGLGQPGSV LRVLWLADCD VSDSSCSSLA ATLLANHSLR ELDLSNNCLG DAGILQLVES VRQPGCLLEQ LVLYDIYWSE EMEDRLQALE KDKPSLRVIS; Positive Samples: Raji, U-87MG, HT-29, HeLa, Mouse liver, Mouse kidney, Mouse lung, Rat brain, Rat lung; Cellular Location: Cytoplasm.
RNH1 is the inhibitor of pancreatic RNase and angiogenin. RNH1 may also function in the modulation of cellular activities.
Especificaciones
| RNH1 | |
| Polyclonal | |
| Unconjugated | |
| RNH1 | |
| AW546468; C80305; EGK_05816; hypothetical protein LOC517087; im:7039360; LOC720791; Placental ribonuclease inhibitor; placental RNase inhibitor; PRI; RAI; Ribonuclease inhibitor; ribonuclease/angiogenin inhibitor 1; RNasIN; RNH; Rnh1; si:ch211-213a13.3; testicular tissue protein Li 164; uncharacterized protein rnh1; wu:fd55g05 | |
| Rabbit | |
| Affinity Chromatography | |
| RUO | |
| 100360501, 107702, 6050 | |
| -20°C, Avoid Freeze/Thaw Cycles | |
| Liquid |
| ELISA, Western Blot, Immunocytochemistry | |
| 1.89 mg/mL | |
| PBS with 50% glycerol and 0.02% sodium azide; pH 7.3 | |
| P13489, P29315, Q91VI7 | |
| RNH1 | |
| Recombinant fusion protein containing a sequence corresponding to amino acids 202-461 of human RNH1 (NP_0029302). | |
| 100 μL | |
| Primary | |
| Human, Mouse, Rat | |
| Antibody | |
| IgG |
Proporcione sus comentarios sobre el contenido del producto rellenando el siguiente formulario.