missing translation for 'onlineSavingsMsg'
Learn More

RAD17 Rabbit anti-Human, Mouse, Polyclonal Antibody, Abnova™

Rabbit polyclonal antibody raised against synthetic peptide of RAD17.

Marca:  Abnova PAB27091.100uL

Código de producto. 16037277

  • 503.00€ / 100 microlitros

Por favor, para comprar este producto. ¿No tiene usuario web? Regístrese hoy mismo.

Este artículo no se puede devolver. Vea la política de devoluciones

Descripción

Descripción

The protein encoded by this gene is highly similar to the gene product of Schizosaccharomyces pombe rad17, a cell cycle checkpoint gene required for cell cycle arrest and DNA damage repair in response to DNA damage. This protein shares strong similarity with DNA replication factor C (RFC), and can form a complex with RFCs. This protein binds to chromatin prior to DNA damage and is phosphorylated by the checkpoint kinase ATR following damage. This protein recruits the RAD1-RAD9-HUS1 checkpoint protein complex onto chromatin after DNA damage, which may be required for its phosphorylation. The phosphorylation of this protein is required for the DNA-damage-induced cell cycle G2 arrest, and is thought to be a critical early event during checkpoint signaling in DNA-damaged cells. Eight alternatively spliced transcript variants of this gene, which encode four distinct proteins, have been reported. Two pseudogenes, located on chromosomes 7 and 13, have been identified. [provided by RefSeq

Especificaciones

Especificaciones

RAD17
Polyclonal
Unconjugated
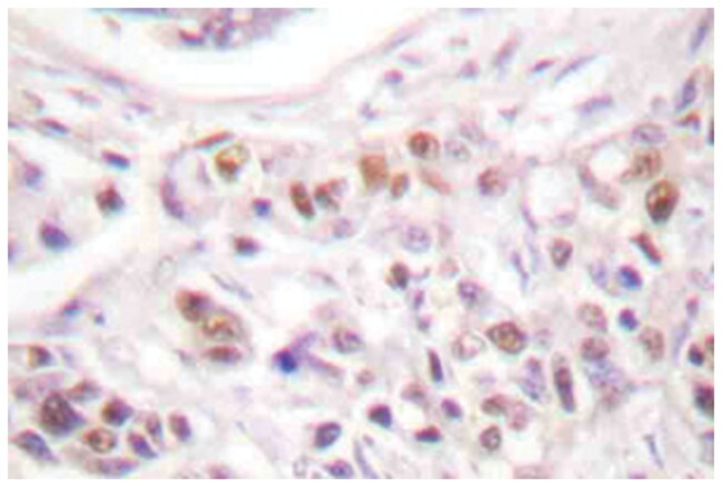
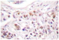
Western Blot (1:500-1:1000) Immunohistochemistry (1:50-1:200) Immunofluorescence (1:50-1:200) The optimal working dilution should be determined by the end user.
RAD17
RAD17
A synthetic peptide corresponding to human RAD17.
100 μL
Primary
RAD17 polyclonal antibody detects endogenous levels of RAD17 protein.
Store at 4°C. For long term storage store at -20°C.
Aliquot to avoid repeated freezing and thawing.
Immunofluorescence, Immunohistochemistry (PFA fixed), Western Blot
1 mg/mL
Rabbit polyclonal antibody raised against synthetic peptide of RAD17.
In PBS, pH 7.2 (0.05% sodium azide)
CCYC/FLJ41520/HRAD17/R24L/RAD17SP/RAD24
Rabbit
Antigen affinity purification
RUO
5884
Human, Mouse
Liquid
Sugerencias de productos

Sugerencias de productos

Videos
SDS
Documentos

Documentos

Certificados
Promociones

Promociones

Corrección del contenido de un producto

Proporcione sus comentarios sobre el contenido del producto rellenando el siguiente formulario.

Título del producto

Al hacer clic en Enviar, acepta que Fisher Scientific se ponga en contacto con usted en relación con los comentarios que ha proporcionado en este formulario. No compartiremos su información para ningún otro fin. Toda la información de contacto proporcionada se mantendrá de acuerdo con nuestra Política de Privacidad. Política de privacidad.

Gracias por ayudarnos a mejorar nuestra web. Su comentario ha sido enviado

For Research Use Only