missing translation for 'onlineSavingsMsg'
Learn More

NXF3 Rabbit anti-Human, Polyclonal Antibody, Abnova™

Código de producto. 16157000
Change view
Click to view available options
Cantidad:
100 μL
Tamaño de la unidad:
100 microlitros
1 product options available for selection
Product selection table with 1 available options. Use arrow keys to navigate and Enter or Space to select.
Código de producto. Cantidad unitSize
16157000 100 μL 100 microlitros
Use arrow keys to navigate between rows. Press Enter or Space to select a product option. 1 options available.
1 options
Este artículo no se puede devolver. Vea la política de devoluciones
Código de producto. 16157000 Proveedor Abnova N.º de proveedor PAB28740.100uL

Por favor, para comprar este producto. ¿No tiene usuario web? Regístrese hoy mismo.

Este artículo no se puede devolver. Vea la política de devoluciones

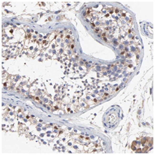
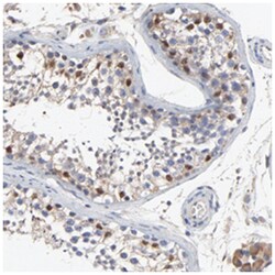
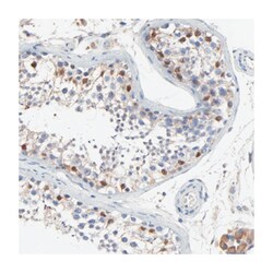
Rabbit polyclonal antibody raised against recombinant NXF3.

This gene is one member of a family of nuclear RNA export factor genes. Common domain features of this family are a noncanonical RNP-type RNA-binding domain (RBD), 4 leucine-rich repeats (LRRs), a nuclear transport factor 2 (NTF2)-like domain that allows heterodimerization with NTF2-related export protein-1 (NXT1), and a ubiquitin-associated domain that mediates interactions with nucleoporins. The LRRs and NTF2-like domains are required for export activity. Alternative splicing seems to be a common mechanism in this gene family. The encoded protein of this gene has shortened LRR and ubiquitin-associated domains and its RDB is unable to bind RNA. It is located in the nucleoplasm but is not associated with either the nuclear envelope or the nucleolus. [provided by RefSeq

Sequence: NPAGIPHFVHRELKSEKVEQIKLAMNQQCDVSQEALDIQRLPFYPDMVNRDTKMASNPRKCMAASLDVHEENIPTVMSAGEMDKWKGIEPGEKCADRSPVCTTFSDTSSNINSILELFPKLLCLDGQQSPRATLCGTEAHKRL

Especificaciones

Antígeno NXF3
Aplicaciones Immunohistochemistry
Clasificación Polyclonal
Conjugado Unconjugated
Descripción Rabbit polyclonal antibody raised against recombinant NXF3.
Dilución Immunohistochemistry (1:50-1:200) The optimal working dilution should be determined by the end user.
Formulación In PBS, pH 7.2 (40% glycerol, 0.02% sodium azide).
génica NXF3
Símbolos de los genes NXF3
Especie del huésped Rabbit
Inmunógeno Recombinant protein corresponding to amino acids of human NXF3.
Método de purificación Antigen affinity purification
Cantidad 100 μL
Estado normativo RUO
Primario o secundario Primary
ID de gen (Entrez) 56000
Especies diana Human
Contenido y almacenamiento Store at 4°C. For long term storage store at -20°C.
Aliquot to avoid repeated freezing and thawing.
Formulario Liquid
Isotype IgG
Mostrar más Mostrar menos

For Research Use Only

Título del producto
Seleccione un problema

Al hacer clic en Enviar, acepta que Fisher Scientific se ponga en contacto con usted en relación con los comentarios que ha proporcionado en este formulario. No compartiremos su información para ningún otro fin. Toda la información de contacto proporcionada se mantendrá de acuerdo con nuestra Política de Privacidad. Política de privacidad.