missing translation for 'onlineSavingsMsg'
Learn More

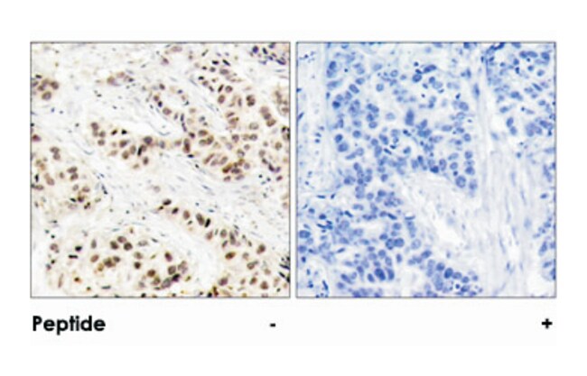
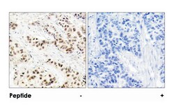
CDC2 Rabbit anti-Human, Mouse, Rat, Polyclonal Antibody, Abnova™

Rabbit polyclonal antibody raised against synthetic peptide of CDC2.

Marca:  Abnova PAB26773.100ug

Código de producto. 16036947

  • 388.00€ / 100 microgramos

Por favor, para comprar este producto. ¿No tiene usuario web? Regístrese hoy mismo.

Este artículo no se puede devolver. Vea la política de devoluciones

Descripción

Descripción

The protein encoded by this gene is a member of the Ser/Thr protein kinase family. This protein is a catalytic subunit of the highly conserved protein kinase complex known as M-phase promoting factor (MPF), which is essential for G1/S and G2/M phase transitions of eukaryotic cell cycle. Mitotic cyclins stably associate with this protein and function as regulatory subunits. The kinase activity of this protein is controlled by cyclin accumulation and destruction through the cell cycle. The phosphorylation and dephosphorylation of this protein also play important regulatory roles in cell cycle control. Alternatively spliced transcript variants encoding different isoforms have been found for this gene. [provided by RefSeq

Sequence: G-T-Yp-G-V
Especificaciones

Especificaciones

CDC2
Polyclonal
Unconjugated
Western Blot (1:500-1:1000) Immunohistochemistry (1:50-1:100) Immunofluorescence (1:100-1:200) The optimal working dilution should be determined by the end user.
CDC2
CDC28A/CDK1/DKFZp686L20222/MGC111195
Rabbit
Affinity chromatography
RUO
983
Store at -20°C.
Aliquot to avoid repeated freezing and thawing.
Immunofluorescence, Immunohistochemistry (PFA fixed), Western Blot
1 mg/mL
Rabbit polyclonal antibody raised against synthetic peptide of CDC2.
In PBS, 150mM NaCl, pH 7.4 (50% glycerol, 0.02% sodium azide)
P06493
CDC2
A synthetic peptide corresponding to residues surrounding Y15 of human CDC2.
100 μg
Primary
Human, Mouse, Rat
Liquid
Sugerencias de productos

Sugerencias de productos

Videos
SDS
Documentos

Documentos

Certificados
Promociones

Promociones

Corrección del contenido de un producto

Proporcione sus comentarios sobre el contenido del producto rellenando el siguiente formulario.

Título del producto

Al hacer clic en Enviar, acepta que Fisher Scientific se ponga en contacto con usted en relación con los comentarios que ha proporcionado en este formulario. No compartiremos su información para ningún otro fin. Toda la información de contacto proporcionada se mantendrá de acuerdo con nuestra Política de Privacidad. Política de privacidad.

Gracias por ayudarnos a mejorar nuestra web. Su comentario ha sido enviado

For Research Use Only