missing translation for 'onlineSavingsMsg'
Learn More

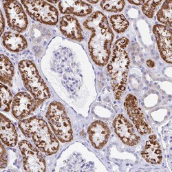
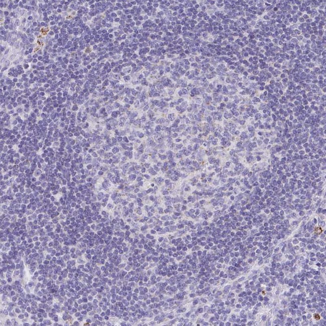
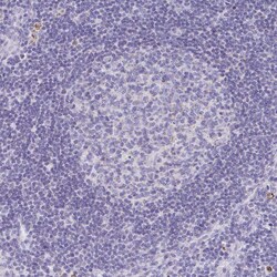
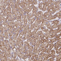
Invitrogen™ Pyruvate Carboxylase Polyclonal Antibody

Rabbit Polyclonal Antibody

Marca:  Invitrogen™ PA560552

Código de producto. 15768381

  • 594.00€ / 100 microlitros

Por favor, para comprar este producto. ¿No tiene usuario web? Regístrese hoy mismo.

Este artículo no se puede devolver. Vea la política de devoluciones

Descripción

Descripción

Immunogen sequence: GADVVDVAAD SMSGMTSQPS MGALVACTRG TPLDTEVPME RVFDYSEYWE GARGLYAAFD CTATMKSGNS DVYENEIPGG QYTNLHFQ Highest antigen sequence identity to the following orthologs: Mouse - 97%, Rat - 97%.

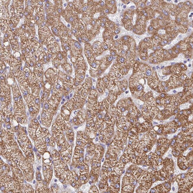
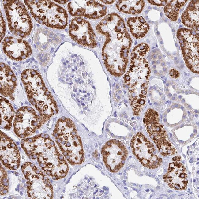
Pyruvate Carboxylase requires biotin and ATP to catalyse the carboxylation of pyruvate to oxaloacetate. The active enzyme is a homotetramer arranged in a tetrahedron which is located exclusively in the mitochondrial matrix. Pyruvate carboxylase is involved in gluconeogenesis, lipogenesis, insulin secretion and synthesis of the neurotransmitter glutamate. Mutations in this gene have been associated with pyruvate carboxylase deficiency.
TRUSTED_SUSTAINABILITY
Especificaciones

Especificaciones

Pyruvate Carboxylase
Polyclonal
Unconjugated
PC
EC 6.4.1.1; Pc; Pcb; Pcx; PYC; pyruvate carboxylase; pyruvate carboxylase, mitochondrial; pyruvate decarboxylase; pyruvic carboxylase
Rabbit
Antigen affinity chromatography
RUO
5091
Store at 4°C short term. For long term storage, store at -20°C, avoiding freeze/thaw cycles.
Liquid
Immunohistochemistry (Paraffin), Western Blot, Immunocytochemistry
0.1 mg/mL
PBS with 40% glycerol and 0.02% sodium azide; pH 7.2
P11498
PC
Recombinant protein corresponding to Human Pyruvate Carboxylase. Recombinant protein control fragment (Product #RP-97479).
100 μL
Primary
Human
Antibody
IgG
Sugerencias de productos

Sugerencias de productos

Videos
SDS
Documentos

Documentos

Certificados
Promociones

Promociones

Corrección del contenido de un producto

Proporcione sus comentarios sobre el contenido del producto rellenando el siguiente formulario.

Título del producto

Al hacer clic en Enviar, acepta que Fisher Scientific se ponga en contacto con usted en relación con los comentarios que ha proporcionado en este formulario. No compartiremos su información para ningún otro fin. Toda la información de contacto proporcionada se mantendrá de acuerdo con nuestra Política de Privacidad. Política de privacidad.

Gracias por ayudarnos a mejorar nuestra web. Su comentario ha sido enviado