missing translation for 'onlineSavingsMsg'
Learn More
Learn More
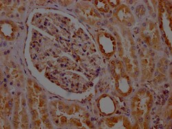
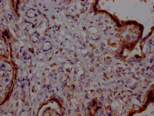
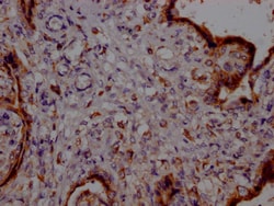
Invitrogen™ PTGER2 Recombinant Rabbit Monoclonal Antibody (8D8)

Descripción
PTGER2 Recombinant Monoclonal Antibody for IHC (P), ELISA
Prostaglandins are produced by the metabolism of arachidonic acid. Prostaglandin E2 is one of the five physiologically significant prostanoids known. Its wide spectrum of physiologic and pharmacologic effects in various tissues is mediated through binding to the Prostaglandin E2 receptors (EP1, EP2, EP3 & EP4). These include effects on the immune, endocrine, cardiovascular, renal and reproductive systems as well as smooth muscle. It is also one of the most abundant of the prostanoid family in the brain where it plays an important role in many neural functions, particularly in newborn babies, and as a mediator of inflammation. PGE-2 signals through a family of G-protein coupled receptors known as EP receptors. There are 4 subtypes of EP receptors, known as EP1, EP2, EP3 and EP4. EP2 receptors are 358 amino acid proteins with a short third intracellular loop. EP2 receptors stimulate adenylyl cyclase by their coupling to Gs and do not undergo PGE-2-induced internalization. The EP2 receptors is involved with the contration and relaxation of smooth muscle tissue. These receptors are mainly localized in lung and placental tissues and in smooth muscle.
Especificaciones
Especificaciones
| Antígeno | PTGER2 |
| Aplicaciones | ELISA, Immunohistochemistry (Paraffin) |
| Clasificación | Recombinant Monoclonal |
| Clon | 8D8 |
| Concentración | 1.5 mg/mL |
| Conjugado | Unconjugated |
| Formulación | PBS with 50% glycerol and 0.02% sodium azide; pH 7.4 |
| génica | PTGER2 |
| N.º de referencia del gen | P43116 |
| Alias de gen | EP2; EP2 receptor; PGE receptor EP2 subtype; PGE receptor, EP2 subtype; PGE2 receptor EP2 subtype; Pge2-r ep2; prostaglandin E receptor 2; prostaglandin E receptor 2 (EP2 subtype); prostaglandin E receptor 2 (subtype EP2); prostaglandin E receptor 2 (subtype EP2), 53kD; prostaglandin E receptor 2 (subtype EP2), 53kDa; prostaglandin E receptor EP2 subtype; prostaglandin E receptor subtype EP2; prostaglandin E2 receptor EP2; prostaglandin E2 receptor EP2 subtype; prostaglandin E2 receptor EP2 subtype pseudogene; prostaglandin E2 receptor type 2; prostanoid EP2 receptor; Ptger2; Ptgerep2; Ptger-ep2 |
| Mostrar más |
Título del producto
Al hacer clic en Enviar, acepta que Fisher Scientific se ponga en contacto con usted en relación con los comentarios que ha proporcionado en este formulario. No compartiremos su información para ningún otro fin. Toda la información de contacto proporcionada se mantendrá de acuerdo con nuestra Política de Privacidad. Política de privacidad.
¿Detecta una oportunidad de mejora?