Learn More
Invitrogen™ PKC alpha Polyclonal Antibody

Descripción
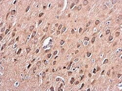
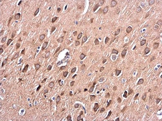
Recommended positive controls: H1299, Jurkat, U87-MG, SK-N-SH, IMR32, SK-N-AS, Neuro 2A, C8D30, NIH-3T3, Raw264.7, C2C12, PC-12, Rat2. Predicted reactivity: Mouse (99%), Rat (99%), Zebrafish (89%), Xenopus laevis (92%), Rabbit (99%), Chicken (95%), Rhesus Monkey (100%), Bovine (98%). Store product as a concentrated solution. Centrifuge briefly prior to opening the vial.
Especificaciones
Especificaciones
| Antígeno | PKC alpha |
| Aplicaciones | Immunohistochemistry (Paraffin), Western Blot |
| Clasificación | Polyclonal |
| Concentración | 0.69 mg/mL |
| Conjugado | Unconjugated |
| Formulación | 0.1M tris glycine with 10% glycerol and 0.01% thimerosal; pH 7 |
| génica | PRKCA |
| N.º de referencia del gen | P05696, P17252, P20444 |
| Alias de gen | AAG6; aging-associated gene 6; AI875142; EC 2.7.11.13; FHC; FTH; FTHL6; im:7139045; kinase PKC-alpha; KPCA; MGC104426; PIG15; PKC III; Pkca; PKC-A; PKC-alpha; PKC-III; PKRCA; PLIF; PRKACA; Prkca; prkcaa; protein kinase C; protein kinase C alpha; protein kinase C alpha type; protein kinase C alpha type; protein kinase C, alpha, a; protein kinase C, alpha; protein kinase C, alpha, a; protein kinase c-alpha; si:dkey-8l19.1; Unknown (protein for IMAGE:7139045); unnamed protein product |
| Símbolos de los genes | PRKCA |
| Mostrar más |
Al hacer clic en Enviar, acepta que Fisher Scientific se ponga en contacto con usted en relación con los comentarios que ha proporcionado en este formulario. No compartiremos su información para ningún otro fin. Toda la información de contacto proporcionada se mantendrá de acuerdo con nuestra Política de Privacidad. Política de privacidad.