missing translation for 'onlineSavingsMsg'
Learn More
Learn More
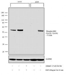
Invitrogen™ Phospho-SHC (Tyr239, Tyr240) Polyclonal Antibody

Rabbit Polyclonal Antibody
Marca: Invitrogen™ 44830
Este artículo no se puede devolver.
Vea la política de devoluciones
Descripción
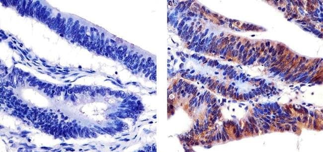
Phospho-SHC (Tyr239, Tyr240) Polyclonal Antibody for Western Blot, IHC (P)
Skp2 (S-phase Kinase-associated Protein 2) belongs to the family of F-box proteins that interact with the Cyclin A-Cdk2 complex. Skp2 is essential for the G1-S transition in both transformed cells and diploid fibroblasts. Biochemical and genetic experiments have demonstrated that Skp2 is required for the ubiquitination and consequent degradation of p27 in cultured mammalian cells and in vitro reconstitution assays. In normal tissues, Skp2 is expressed in tonsil and placenta. In tumor tissues, Skp2 is expressed widely, in some colon, prostate, pancreas, and skin cancers, with high expression in lung, breast, ovarian, and endometrial cancers. Research suggests that Skp2 plays a role in oncogenesis, particularly in the pathogenesis of lymphomas and breast cancers.
Especificaciones
| Phospho-SHC (Tyr239, Tyr240) | |
| Polyclonal | |
| Dulbecco's PBS with 1mg/mL BSA and 0.05% sodium azide; pH 7.3 | |
| P29353, P98083 | |
| SHC1 | |
| The antiserum was produced against a chemically synthesized phosphopeptide derived from the region of human Shc that contains tyrosines 239 and 240. | |
| 100 μL | |
| Primary | |
| Human, Mouse | |
| Antibody | |
| IgG |
| Immunohistochemistry (Paraffin), Western Blot | |
| Unconjugated | |
| SHC1 | |
| FLJ26504; OTTHUMP00000035472; p66; P66shc; RP11-307C12.1; SH2 domain protein C1; SHC; SHC (Src homology 2 domain containing) transforming protein 1; SHC (Src homology 2 domain-containing) transforming protein 1; SHC adaptor protein 1; SHC1; SHCA; SHC-transforming protein 1; SHC-transforming protein 3; SHC-transforming protein A; src homology 2 domain-containing transforming protein C1; src homology 2 domain-containing-transforming protein C1 | |
| Rabbit | |
| Antigen affinity chromatography | |
| RUO | |
| 20416, 6464 | |
| -20°C | |
| Liquid |
Corrección del contenido de un producto
Proporcione sus comentarios sobre el contenido del producto rellenando el siguiente formulario.
Título del producto
¿Detecta una oportunidad de mejora?Comparta una corrección de contenido