missing translation for 'onlineSavingsMsg'
Learn More

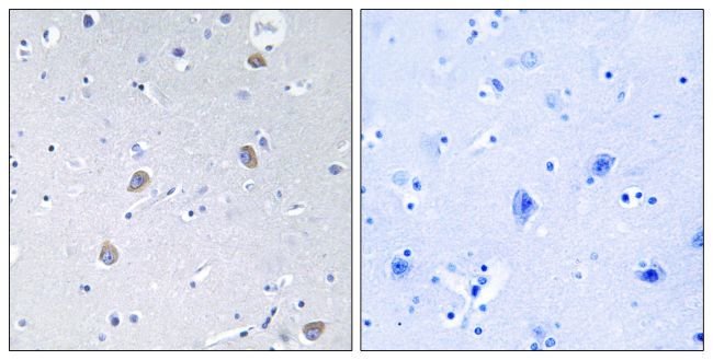
Phospho-p70 S6 Kinase (Ser371) Polyclonal Antibody, Invitrogen™

Código de producto. 15545231
Change view
Click to view available options
Cantidad:
100 μg
Tamaño de la unidad:
100 microgramos
Código de producto. Cantidad unitSize
15545231 100 μg 100 microgramos
1 options
Este artículo no se puede devolver. Vea la política de devoluciones

Código de producto. 15545231

Marca: Invitrogen PA538307

Por favor, para comprar este producto. ¿No tiene usuario web? Regístrese hoy mismo.

Este artículo no se puede devolver. Vea la política de devoluciones

Rabbit Polyclonal Antibody

The p70 S6 kinase (p70 Ribosomal Protein S6 Kinase, p70S6K) is a 70 kDa member of the ribosomal S6 kinase (RSK) family of serine/threonine kinases. p70 S6 kinase is predomitly localized in the cytoplasm, and is essential in growth factors regulated cell proliferation, pathways involving cell motility, such as metastases, the immune response, and tissue repair. p70 S6 kinase acts downstream of phosphoinositide (PI) 3-kinase, and its main physiological target is the S6 ribosomal protein, which is involved in upregulation of protein synthesis. The kinase activity of p70 S6 kinase leads to an increase in protein synthesis and cell proliferation. Amplification of the region of DNA encoding p70 S6 kinase and overexpression are seen in some breast cancer cell lines.
TRUSTED_SUSTAINABILITY

Especificaciones

Antígeno Phospho-p70 S6 Kinase (Ser371)
Aplicaciones Immunohistochemistry (Paraffin), Western Blot
Clasificación Polyclonal
Concentración 1 mg/mL
Conjugado Unconjugated
Formulación Dulbecco′s PBS with 150mM NaCl, 50% glycerol and 0.02% sodium azide; pH 7.4
génica RPS6KB1
N.º de referencia del gen P23443, Q8BSK8, P67999
Alias de gen Ribosomal protein S6 kinase I, S6K, S6K1, 70 kDa ribosomal protein S6 kinase 1, p70 S6 kinase alpha, p70 S6K, p70-S6K, P70S6K, p70 S6 kinase alpha, Name: RPS6KB1, STK14A, p80 S6K1, p85 S6 kinase, p85 S6K, p85S6K
Símbolos de los genes RPS6KB1
Especie del huésped Rabbit
Inmunógeno A synthetic phosphopeptide derived from human p70 S6 Kinase around the phosphorylation site of Ser371 (V-D-SP-P-D)
Método de purificación Antigen affinity chromatography
Cantidad 100 μg
Estado normativo RUO
Primario o secundario Primary
ID de gen (Entrez) 6198, 72508, 83840
Especies diana Human, Mouse, Rat
Contenido y almacenamiento -20°C
Tipo de producto Antibody
Formulario Liquid
Isotype IgG
Mostrar más Mostrar menos
Título del producto
Seleccione un problema

Al hacer clic en Enviar, acepta que Fisher Scientific se ponga en contacto con usted en relación con los comentarios que ha proporcionado en este formulario. No compartiremos su información para ningún otro fin. Toda la información de contacto proporcionada se mantendrá de acuerdo con nuestra Política de Privacidad. Política de privacidad.