missing translation for 'onlineSavingsMsg'
Learn More
Learn More
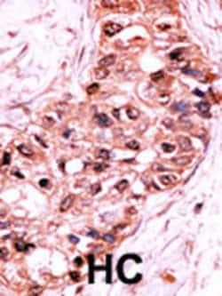
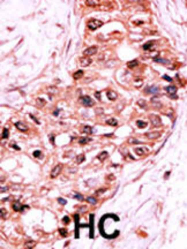
Invitrogen™ Phospho-Caspase 9 (Ser196) Polyclonal Antibody

Descripción
Phospho-Caspase 9 (Ser196) Polyclonal Antibody for Western Blot, IHC (P)
Caspase 9 (ICE-like apoptotic protease 6, ICE LAP6, apoptotic protease Mch6, apoptotic protease activating factor 3, Apaf3) is a member of the peptidase family C14 that contains a CARD domain. Caspases are cysteine proteases, expressed as inactive precursors, that mediate apoptosis by proteolysis of specific substrates. Caspase 9 is active as a heterotetramer, is present in the cytosol and, upon activation, translocates to the mitochondria. Caspase 9 is involved in the caspase activation cascade responsible for apoptosis execution and cleaves/activates Caspase 3 and Caspase 6. Further, Caspase 9 is involved in the activation cascade of caspases responsible for apoptosis execution. Binding of caspase-9 to Apaf- 1 leads to activation of the protease which then cleaves and activates caspase-3. Caspase 9 promotes DNA damage-induced apoptosis in a ABL1/c-Abl-dependent manner, and proteolytically cleaves poly(ADP- ribose) polymerase (PARP). Caspase 9 is expressed in variety of human tissues. An isoform of rat Caspase-9 has been identified in which the C terminus of full-length Caspase-9 is replaced with an alternative peptide sequence. Mutations in Caspase 9 affect brain development. In mice, insufficient Caspase 9 have resulted in abnormal cerebrum development and neuron development. In humans, dysfunctional Caspase 9 expression vary from tissue to tissue. Low levels of Caspase 9 may play a role in cancer development and neurodegenerative diseases such as Alzheimer's Disease (AD).
Especificaciones
Especificaciones
| Antígeno | Phospho-Caspase 9 (Ser196) |
| Aplicaciones | Immunohistochemistry (Paraffin), Western Blot |
| Clasificación | Polyclonal |
| Concentración | 0.3 mg/mL |
| Conjugado | Unconjugated |
| Formulación | PBS with 0.09% sodium azide; pH 7.4 |
| génica | CASP9 |
| N.º de referencia del gen | P55211 |
| Alias de gen | 25 kDa caspase-9 dominant negative protein; AI115399; APAF3; APAF-3; apoptotic protease activating factor 3; apoptotic protease MCH-6; Apoptotic protease-activating factor 3; AW493809; cas9; CASP 9; CASP9; CASP-9; Casp9_v1; Casp-9-CTD; caspase 9; caspase 9, apoptosis-related cysteine peptidase; caspase 9, apoptosis-related cysteine protease; Caspase9; caspase-9; caspase-9 dominant negative form; Caspase-9 precursor; Caspase-9 subunit p10; Caspase-9 subunit p35; CASPASE-9c; caspase-9-carboxyl-terminal divergent; CTD; Ice-Lap6; ICE-like apoptotic protease 6; Mch6; OTTHUMP00000002324; PPP1R56; protein phosphatase 1, regulatory subunit 56; RNCASP9; RP11-265F14.3 |
| Símbolos de los genes | CASP9 |
| Mostrar más |
Título del producto
Al hacer clic en Enviar, acepta que Fisher Scientific se ponga en contacto con usted en relación con los comentarios que ha proporcionado en este formulario. No compartiremos su información para ningún otro fin. Toda la información de contacto proporcionada se mantendrá de acuerdo con nuestra Política de Privacidad. Política de privacidad.
¿Detecta una oportunidad de mejora?