missing translation for 'onlineSavingsMsg'
Learn More
Learn More
Phospho-Annexin A1 (Tyr21) Polyclonal Antibody

Phospho-Annexin A1 (Tyr21) Polyclonal Antibody
Marca: Invitrogen PA5105965
Este artículo no se puede devolver.
Vea la política de devoluciones
Descripción
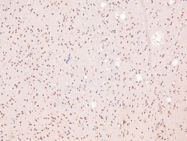
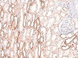
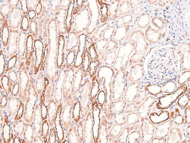
Phospho-Annexin A1 (Tyr21) Polyclonal Antibody for Western Blot, IHC (P)
Especificaciones
| Phospho-Annexin A1 (Tyr21) | |
| Polyclonal | |
| Unconjugated | |
| ANXA1 | |
| ANAX1; Annexin 1 (p35) (Lipocortin 1); annexin A1; Annexin I; annexin I (lipocortin I); annexin-1; ANX1; Anx-1; Anxa1; Anx-A1; C430014K04Rik; Calpactin II; calpactin-2; Chromobindin-9; lipocortin 1; lipocortin I; LPC1; Lpc-1; p35; Phospholipase A2 inhibitory protein; RP11-71A24.1 | |
| Rabbit | |
| Sequential Chromatography | |
| RUO | |
| 16952, 25380, 301 | |
| -20°C | |
| Liquid |
| Immunohistochemistry (Paraffin), Western Blot | |
| 1 mg/mL | |
| PBS with 50% glycerol and 0.02% sodium azide; pH 7.4 | |
| P04083, P07150, P10107 | |
| ANXA1 | |
| A synthesized peptide derived from human ANXA1(Accession P04083), corresponding to amino acid residues around phosphorylated Tyr21. | |
| 100 μL | |
| Primary | |
| Human, Mouse, Rat | |
| Antibody | |
| IgG |
Corrección del contenido de un producto
Proporcione sus comentarios sobre el contenido del producto rellenando el siguiente formulario.
Título del producto
¿Detecta una oportunidad de mejora?Comparta una corrección de contenido