missing translation for 'onlineSavingsMsg'
Learn More
Learn More
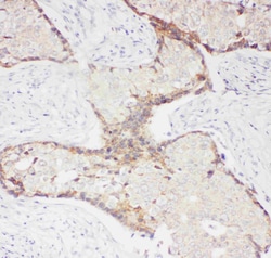
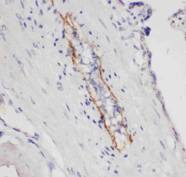
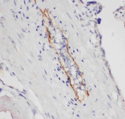
Invitrogen™ P-Selectin (CD62P) Polyclonal Antibody

Descripción
Reconstitute with 0.2 mL of distilled water to yield a concentration of 500 μg/mL. Positive Control - WB: PANC whole cell. IHC: Human Mammary Cancer Tissue, Human Placenta Tissue.
P-selectin (Selectin P, GMP-140, LECAM3, CD62 antigen-like family member) is a 140 kDa type 1 transmembrane glycoprotein, and is one of the most commonly studied proteins that regulate cell rolling. P-selectin is stored in the Weibel-Palade bodies of endothelial cells, as well as in a-granules of platelets. From there, it can be rapidly brought to the cell surface after exposure to thrombin, histamine, complement 5a, Ca21 ionophores, or adenosine diphosphate. P-selectin protein redistributes to the plasma membrane during platelet activation and degranulation and mediates the interaction of activated endothelial cells or platelets with leukocytes. P-selectin plays an important role in adhesive processes between leucocytes and endothelial cells, and is a calcium dependent receptor that binds to sialylated forms of Lewis blood group carbohydrate antigens found on neutrophils and monocytes. P-selectin is constitutively expressed in inflammation and contributes to atherogenesis, thrombosis and tissue destruction. Clinically, P-selectin is used to distinguish heparin induced thrombocytopenia with and without thrombosis.
Especificaciones
Especificaciones
| Antígeno | P-Selectin (CD62P) |
| Aplicaciones | Immunohistochemistry (Paraffin), Western Blot |
| Clasificación | Polyclonal |
| Concentración | 500 μg/mL |
| Conjugado | Unconjugated |
| Formulación | PBS with 5mg BSA and 0.05mg sodium azide, 0.05mg thimerosal |
| génica | SELP |
| N.º de referencia del gen | P16109 |
| Alias de gen | CD62; CD62 antigen-like family member P; CD62P; CD62P antigen; CD62P; CD62 homolog; FLJ45155; GMP140; GMP-140; GMRP; Granule membrane protein 140; granule membrane protein 140kDa; granulocyte membrane protein; Grmp; LECAM3; leukocyte-endothelial cell adhesion molecule 3; PADGEM; Platelet activation dependent granule-external membrane protein; platelet alpha-granule membrane protein; PSEL; PSELECT; P-selectin; P-selectin precursor; RP1-86F14.2; selectin P; selectin P (granule membrane protein 140kDa, antigen CD62); selectin, platelet; Selp |
| Símbolos de los genes | SELP |
| Mostrar más |
Título del producto
Al hacer clic en Enviar, acepta que Fisher Scientific se ponga en contacto con usted en relación con los comentarios que ha proporcionado en este formulario. No compartiremos su información para ningún otro fin. Toda la información de contacto proporcionada se mantendrá de acuerdo con nuestra Política de Privacidad. Política de privacidad.
¿Detecta una oportunidad de mejora?