missing translation for 'onlineSavingsMsg'
Learn More
Learn More
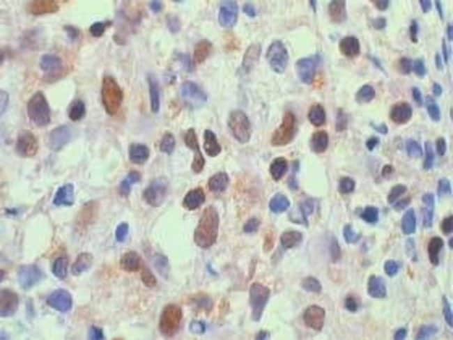
Invitrogen™ NFkB p65 Polyclonal Antibody

Rabbit Polyclonal Antibody
Marca: Invitrogen™ PA130408
Este artículo no se puede devolver.
Vea la política de devoluciones
Descripción
PA1-30408 detects NFkB p65 from rat, mouse, human samples.
Nuclear factor kB p65 (NF-kB p65) is encoded by the RELA gene and is present on chromosome 11 in humans. NF-kB P65 is also known as RelA (v-rel avian reticuloendotheliosis viral oncogene homolog A) and belongs to the Rel family of proteins. It is one of the two subunits of NF-kB (Nuclear factor kappa-light-chain-enhancer of activated B cells) that heterodimerizes with the other subunits p50 or p52. However, binding of TNF alpha to its cognate receptor phosphorylates IKK which in turn phosphorylates I kB allowing proteasomal degradation of I kB. It specifically plays a key role in transcription of immunoglobulin k (kappa) gene in mature B-lymphoid cells.
Especificaciones
| NFkB p65 | |
| Polyclonal | |
| Unconjugated | |
| RELA | |
| avian reticuloendotheliosis viral (v-rel) oncogene homolog A; EBP-1; I79_021812; MGC131774; NF KB; NFkappaB p65; nf-kappa-b p65; NF-kappa-B p65delta3; NF-kappa-B transcription factor p65; NF-kappaB transcription factor p65 subunit; NFkB; NF-kB p65; NF-kB p65 subunit; nfkb rela; NFKB1; nfkb3; NFkB-p50; nuclear factor; nuclear factor kappa b; nuclear factor kappa B subunit p65; nuclear factor NF-kappa-B p65 subunit; Nuclear factor of kappa light polypeptide gene enhancer in B-cells 3; p65; p65 NF kappaB; p65 NF-kappa B; p65 NFkB; P65 transcription factor; putative transcription factor p65 homolog; REL A; rel1; rela; RELA proto-oncogene, NF-kB subunit; rela.L; rela-a; Transcription factor p65; v-rel avian reticuloendotheliosis viral oncogene homolog A; v-rel avian reticuloendotheliosis viral oncogene homolog A L homeolog; v-rel reticuloendotheliosis viral oncogene homolog A; v-rel reticuloendotheliosis viral oncogene homolog A (avian); v-rel reticuloendotheliosis viral oncogene homolog A, nuclear factor of kappa light polypeptide gene enhancer in B-cells 3, p65; XELAEV_18022301mg; Xrel1; xrela | |
| Rabbit | |
| Antigen affinity chromatography | |
| RUO | |
| 19697, 309165, 5970 | |
| 4°C, do not freeze | |
| Liquid |
| Gel Shift, Immunohistochemistry (Paraffin), Immunoprecipitation, Western Blot, Immunocytochemistry | |
| 0.2 mg/mL | |
| PBS with 0.2% gelatin and 0.1% sodium azide | |
| Q04206, Q04207 | |
| RELA | |
| Peptide mapping to the carboxy terminus of human NFkB p65. | |
| 1 mL | |
| Primary | |
| Human, Mouse, Rat | |
| Antibody | |
| IgG |
Corrección del contenido de un producto
Proporcione sus comentarios sobre el contenido del producto rellenando el siguiente formulario.
Título del producto
¿Detecta una oportunidad de mejora?Comparta una corrección de contenido