missing translation for 'onlineSavingsMsg'
Learn More
Learn More
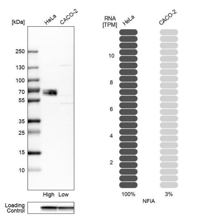
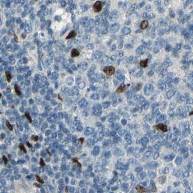
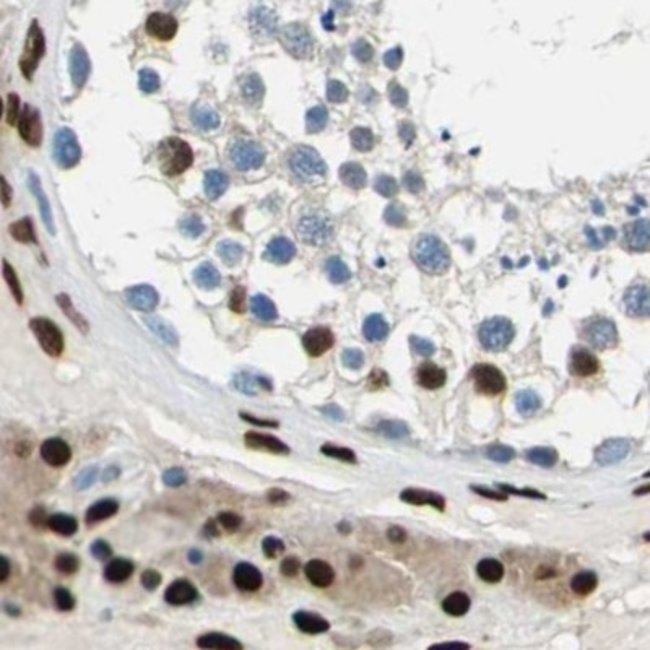
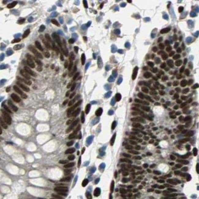
Invitrogen™ NFIA Polyclonal Antibody

Rabbit Polyclonal Antibody
Marca: Invitrogen™ PA552252
Este artículo no se puede devolver.
Vea la política de devoluciones
Descripción
Immunogen sequence: LKSVEDEMDS PGEEPFYTGQ GRSPGSGSQS SGWHEVEPGM PSPTTLKKSE KSGFSSPSPS QTSSLGTAFT QHHRPVITGP RASPHATPST LHFPTSPIIQ Q Highest antigen sequence identity to the following orthologs: Mouse - 98%, Rat - 100%.
NF-1, also designated CTF, consists of a family of CCAAT box binding proteins that stimulate DNA replication and activate transcription. Analysis of human NF-1 messenger RNA has revealed two forms of the NF-1 protein arising from an alternate splicing of a single NF-1 gene. NF-1 binds its consensus DNA element as a homodimer via an amino-terminal DNA binding domain, and activates transcription through a putatively novel, proline-rich, carboxy terminal transactivation domain. The NF-1 protein has been shown to recognize and bind the adenovirus type 2 promoter and activate transcription of herpes simplex virus thymidine kinase genes. The NF-1 consensus element has been found in the upstream promoter region of myriad eukaryotic genes, including that of Ha-Ras, alpha-globin, HSP 70, GRP 78, Histone H1, myelin basic protein and in the Xenopus laevis vitellogenin gene promoter.
Especificaciones
| NFIA | |
| Polyclonal | |
| Unconjugated | |
| NFIA | |
| 1110047K16Rik; 9430022M17Rik; CCAAT-box-binding transcription factor; CTF; KIAA1439; NF1A; NF1-A; Nf1l21; NF-I/A; Nfia; NFI-A; NFI-L; Nuclear factor 1 A-type; nuclear factor 1/A; nuclear factor I A; nuclear factor I/A; TGGCA-binding protein; Unknown (protein for MGC:128467) | |
| Rabbit | |
| Antigen affinity chromatography | |
| RUO | |
| 18027, 25492, 4774 | |
| Store at 4°C short term. For long term storage, store at -20°C, avoiding freeze/thaw cycles. | |
| Liquid |
| ChIP Assay, Immunohistochemistry (Paraffin), Western Blot, Immunocytochemistry | |
| 0.1 mg/mL | |
| PBS with 40% glycerol and 0.02% sodium azide; pH 7.2 | |
| P09414, Q02780, Q12857 | |
| NFIA | |
| Recombinant protein corresponding to Human NFIA. Recombinant protein control fragment (Product #RP-89381). | |
| 100 μL | |
| Primary | |
| Human, Mouse, Rat | |
| Antibody | |
| IgG |
Corrección del contenido de un producto
Proporcione sus comentarios sobre el contenido del producto rellenando el siguiente formulario.
Título del producto
¿Detecta una oportunidad de mejora?Comparta una corrección de contenido