missing translation for 'onlineSavingsMsg'
Learn More

NAT8 Mouse anti-Human, Clone: OTI5A8, liquid, TrueMAB™

Mouse Monoclonal Antibody

Marca:  Origene Technologies TA500544

Encompass_Preferred

Código de producto. 17501731

  • 540.87€ / 100 microlitros

Por favor, para comprar este producto. ¿No tiene usuario web? Regístrese hoy mismo.

Este artículo no se puede devolver. Vea la política de devoluciones

Descripción

Descripción

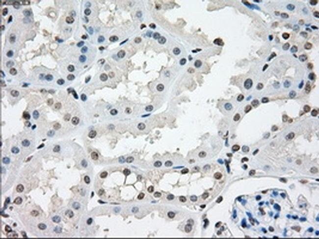
This protein, isolated using the differential display method to detect tissue-specific genes, is specifically expressed in kidney and liver. The encoded protein shows amino acid sequence similarity to N-acetyltransferases. A similar protein in Xenopus affects cell adhesion and gastrulation movements, and may be localized in the secretory pathway. A highly similar paralog is found in a cluster with this gene.
Especificaciones

Especificaciones

NAT8
Monoclonal
1 mg/mL
PBS with 1% BSA, 50% glycerol and 0.02% sodium azide
Q9UHE5
NAT8
Full-length protein expressed in 293T cell transfected with human NAT8 expression vector
100 μL
Primary
Human
Antibody
IgG1
Immunocytochemistry, Immunofluorescence, Immunohistochemistry (Paraffin), Western Blot
OTI5A8
Unconjugated
NAT8
ATase2, CCNAT, CML1, GLA, Hcml1, TSC501, TSC510
Mouse
Affinity Chromatography
RUO
9027
-20° C, Avoid Freeze/Thaw Cycles
Liquid
Sugerencias de productos

Sugerencias de productos

Videos
SDS
Documentos

Documentos

Certificados
Promociones

Promociones

Corrección del contenido de un producto

El Programa Encompass de Fisher Scientific ofrece artículos que no forman parte de nuestra cartera de distribución. Estos productos no suelen tener imágenes ni descripciones detalladas. Sin embargo, nos comprometemos a mejorar su experiencia de compra. Utilice el siguiente formulario para hacernos llegar sus comentarios sobre el contenido de este producto.

Título del producto

Al hacer clic en Enviar, acepta que Fisher Scientific se ponga en contacto con usted en relación con los comentarios que ha proporcionado en este formulario. No compartiremos su información para ningún otro fin. Toda la información de contacto proporcionada se mantendrá de acuerdo con nuestra Política de Privacidad. Política de privacidad.

Gracias por ayudarnos a mejorar nuestra web. Su comentario ha sido enviado