missing translation for 'onlineSavingsMsg'
Learn More
Learn More
Invitrogen™ NAMPT Monoclonal Antibody (C8), Invitrogen™

Mouse Monoclonal Antibody
Marca: Invitrogen™ MA550951
Este artículo no se puede devolver.
Vea la política de devoluciones
Descripción
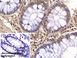
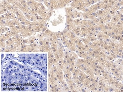
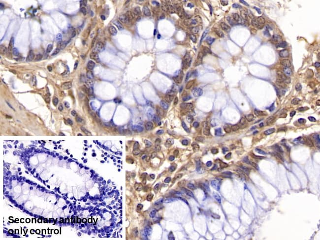
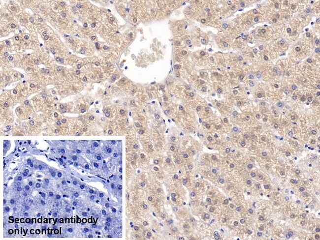
Visfatin, also known as pre-B cell colony-enhancing factor, is an adipocytokine that is abundantly secreted by visceral adipose tissue, with insulin mimetic effects. Visfatin mimics insulin signaling by binding to the insulin receptor and reducing glucose release from liver cells, while stimulating glucose utilization in adipocytes and myocytes. Visfatin is also invoved in enhancement of cell proliferation, biosynthesis of nicotinamide mono-and dinucleotide and glucose homeostasis.
Especificaciones
| NAMPT | |
| Monoclonal | |
| 1 mg/mL | |
| PBS with 50% glycerol and 0.05% Proclin 300; pH 7.4 | |
| P43490, Q52I78, Q99KQ4 | |
| NAMPT | |
| Recombinant Human VF protein, Met1-His491 (Accession #P43490). | |
| 200 μL | |
| Primary | |
| Human, Mouse, Pig | |
| Antibody | |
| IgG2b κ |
| Immunohistochemistry (Paraffin), Western Blot, Immunocytochemistry | |
| C8 | |
| Unconjugated | |
| NAMPT | |
| 1110035O14Rik; AI314458; AI480535; DKFZp666B131; EC 2.4.2.12; hypothetical protein; MGC117256; NAmPRTase; NAMPT; nampt1; nampta; NAMPTP1; Nicotinamide phosphoribosyltransferase; nicotinamide phosphoribosyltransferase 1; nicotinamide phosphoribosyltransferase a; nicotinamide phosphoribosyltransferase pseudogene 1; PBEF; Pbef1; pre-B cell-enhancing factor; pre-B-cell colony enhancing factor 1; pre-B-cell colony-enhancing factor 1; Pre-B-cell colony-enhancing factor 1 homolog; pre-B-cell colony-enhancing factor 1 precursor; VF; VISFATIN | |
| Mouse | |
| Protein A/G | |
| RUO | |
| 10135, 59027, 595123 | |
| Store at 4°C short term. For long term storage, store at -20°C, avoiding freeze/thaw cycles. | |
| Liquid |
Corrección del contenido de un producto
Proporcione sus comentarios sobre el contenido del producto rellenando el siguiente formulario.
Título del producto
¿Detecta una oportunidad de mejora?Comparta una corrección de contenido