missing translation for 'onlineSavingsMsg'
Learn More
Learn More
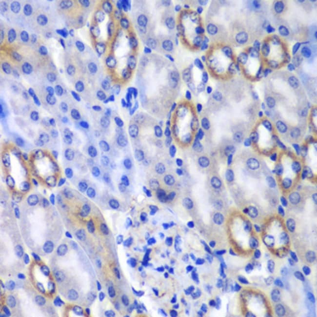
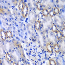
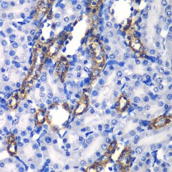
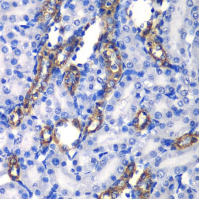
Invitrogen™ MATK Polyclonal Antibody

Rabbit Polyclonal Antibody
Marca: Invitrogen™ PA593126
Este artículo no se puede devolver.
Vea la política de devoluciones
Descripción
Immunogen sequence: PEALKHGKFT SKSDVWSFGV LLWEVFSYGR APYPKMSLKE VSEAVEKGYR MEPPEGCPGP VHVLMSSCWE AEPARRPPFR KLAEKLAREL RSAGAPASVS GQDADGSTSP RSQEP; Positive Samples: THP-1; Cellular Location: Cytoplasm, Membrane.
MATK (Hyl) is a non-receptor CSK-type protein tyrosine kinase that is thought to function in signal transduction pathways important in megakaryocyte growth and/or differentiation. This protein is thought to play a significant role in the signal transduction of hematopoietic cells. It is able to phosphorylate and inactivate Src family kinases, and may play an inhibitory role in the control of T-cell proliferation. This protein might be involved in signaling in some cases of breast cancer.
Especificaciones
| MATK | |
| Polyclonal | |
| Unconjugated | |
| MATK | |
| Batk; CHK; Csk homologous kinase; Csk-homologous kinase; Csk-type protein tyrosine kinase; CTK; DKFZp434N1212; Hematopoietic consensus tyrosine-lacking kinase; HHYLTK; hydroxyaryl-protein kinase; HYL; HYL tyrosine kinase; HYLTK; leukocyte carboxyl-terminal src kinase related; Lsk; Matk; megakaryocyte-associated tyrosine kinase; megakaryocyte-associated tyrosine kinase (non-receptor protein tyrosine kinase); megakaryocyte-associated tyrosine-protein kinase; MGC1708; MGC2101; non-receptor protein kinase protein; Ntk; Protein kinase BATK; protein kinase HYL; Protein kinase NTK; tyrosine kinase MATK; tyrosine-protein kinase CTK; tyrosylprotein kinase | |
| Rabbit | |
| Affinity Chromatography | |
| RUO | |
| 17179, 4145, 60450 | |
| -20°C, Avoid Freeze/Thaw Cycles | |
| Liquid |
| ELISA, Immunohistochemistry (Paraffin), Western Blot | |
| 1.29 mg/mL | |
| PBS with 50% glycerol and 0.02% sodium azide; pH 7.3 | |
| P41242, P41243, P42679 | |
| MATK | |
| Recombinant fusion protein containing a sequence corresponding to amino acids 352-466 of human MATK (NP_6476111). | |
| 100 μL | |
| Primary | |
| Human, Mouse, Rat | |
| Antibody | |
| IgG |
Corrección del contenido de un producto
Proporcione sus comentarios sobre el contenido del producto rellenando el siguiente formulario.
Título del producto
¿Detecta una oportunidad de mejora?Comparta una corrección de contenido