missing translation for 'onlineSavingsMsg'
Learn More
Learn More
Human Apolipoprotein H/ApoH Antibody, R&D Systems™

Goat Polyclonal Antibody
Marca: R&D Systems AF5087-SP
Este artículo no se puede devolver.
Vea la política de devoluciones
Descripción
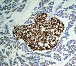
Apolipoprotein H/ApoH Polyclonal specifically detects Apolipoprotein H/ApoH in Human samples. It is validated for Western Blot, Simple Western, Immunohistochemistry.
Especificaciones
| Apolipoprotein H/ApoH | |
| Polyclonal | |
| Unconjugated | |
| Lyophilized from a 0.2 μm filtered solution in PBS with Trehalose. *Small pack size (SP) is supplied as a 0.2 μm filtered solution in PBS. with No Preservative | |
| Activated protein C-binding protein, Anticardiolipin cofactor, APC inhibitor, Apo-H, APOH, Apolipoprotein H, apolipoprotein H (beta-2-glycoprotein I), B2G1, B2GP1, B2GPI, Beta, Beta(2)GPI, beta-2-glycoprotein 1, Beta-2-glycoprotein I, BG | |
| Goat | |
| Affinity Purified | |
| RUO | |
| 350 | |
| Reconstitute at 0.2 mg/mL in sterile PBS. | |
| Use a manual defrost freezer and avoid repeated freeze-thaw cycles. 12 months from date of receipt, -20 to -70 degreesC as supplied. 1 month, 2 to 8 degreesC under sterile conditions after reconstitution. 6 months, -20 to -70 degreesC under sterile conditions after reconstitution. |
| Western Blot, Immunohistochemistry | |
| LYOPH | |
| Western Blot 1 ug/mL, Simple Western 10 ug/mL, Immunohistochemistry 5-15 ug/mL | |
| P02749 | |
| APOH | |
| E. coli-derived recombinant human Apolipoprotein H/ApoH Gly20-Cys345 Accession # P02749 | |
| 25 μg | |
| Primary | |
| Detects human Apolipoprotein H/ApoH in Western blots. | |
| Human | |
| IgG |
Corrección del contenido de un producto
Proporcione sus comentarios sobre el contenido del producto rellenando el siguiente formulario.
Título del producto
For Research Use Only
¿Detecta una oportunidad de mejora?Comparta una corrección de contenido