missing translation for 'onlineSavingsMsg'
Learn More
Learn More
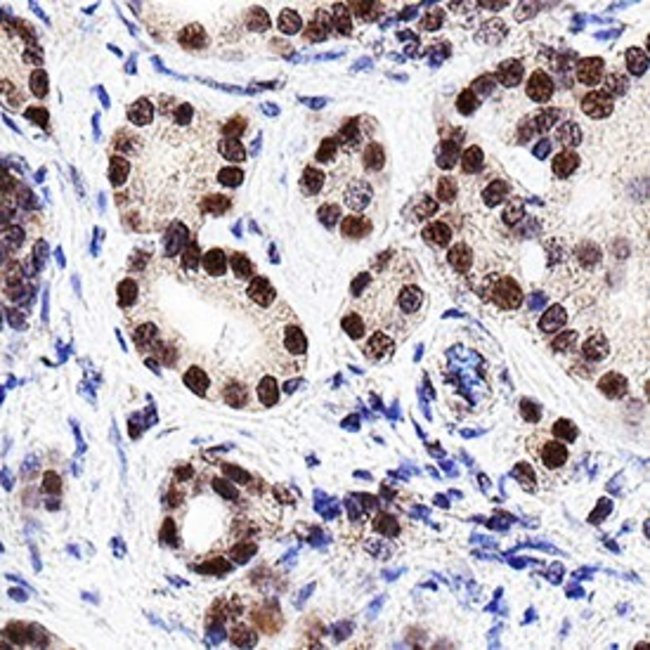
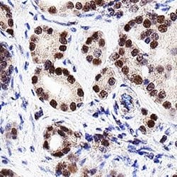
Human Androgen R/NR3C4 Antibody, R&D Systems™

Rabbit Monoclonal Antibody
Marca: R&D Systems MAB58762-100
Este artículo no se puede devolver.
Vea la política de devoluciones
Descripción
Androgen R/NR3C4 Monoclonal specifically detects Androgen R/NR3C4 in Human samples. It is validated for Western Blot, Immunohistochemistry, Intracellular Staining by Flow Cytometry, Immunocytochemistry, CyTOF-ready.
Especificaciones
| Androgen R/NR3C4 | |
| Monoclonal | |
| Unconjugated | |
| Lyophilized from a 0.2 µm filtered solution in PBS with Trehalose. *Small pack size (SP) is supplied as a 0.2 µm filtered solution in PBS. | |
| Rabbit | |
| Protein A or G purified from cell culture supernatant | |
| RUO | |
| 367 | |
| Human | |
| Purified |
| Western Blot, Immunohistochemistry, Flow Cytometry, Immunocytochemistry, CyTOF | |
| 2621E | |
| Western Blot 1 ug/mL, Immunohistochemistry 3-25 ug/mL, Intracellular Staining by Flow Cytometry 0.25 ug/10^6 cells, Immunocytochemistry 8-25 ug/mL, CyTOF-ready | |
| AIS, androgen receptor, AndrogenR, AR, DHTR, DHTRTFM, Dihydrotestosterone receptorHYSP1, HUMARA, NR3C4, NR3C4KD, Nuclear receptor subfamily 3 group C member 4, SBMA, SMAX1, SMAX1SBMA, spinal and bulbar muscular atrophy | |
| Synthetic Human Androgen R/NR3C4 peptide | |
| 100 μg | |
| Primary | |
| Reconstitute at 0.5 mg/mL in sterile PBS. | |
| Use a manual defrost freezer and avoid repeated freeze-thaw cycles. 12 months from date of receipt, -20 to -70 °C as supplied. 1 month, 2 to 8 °C under sterile conditions after reconstitution. 6 months, -20 to -70 °C under sterile conditions after reconstitution. | |
| IgG |
Corrección del contenido de un producto
Proporcione sus comentarios sobre el contenido del producto rellenando el siguiente formulario.
Título del producto
¿Detecta una oportunidad de mejora?Comparta una corrección de contenido