Learn More
Invitrogen™ HSPA4 Recombinant Rabbit Monoclonal Antibody (3B3)

Rabbit Recombinant Monoclonal Antibody
Marca: Invitrogen™ MA524843
Descripción
Recombinant rabbit monoclonal antibodies are produced using in vitro expression systems. The expression systems are developed by cloning in the specific antibody DNA sequences from immunoreactive rabbits. Then, individual clones are screened to select the best candidates for production. The advantages of using recombinant rabbit monoclonal antibodies include: better specificity and sensitivity, lot-to-lot consistency, animal origin-free formulations, and broader immunoreactivity to diverse targets due to larger rabbit immune repertoire.
The HSP 70 family is composed of four highly conserved proteins: HSP 70, HSC 70, GRP 75 and GRP 78. HSP 70 expression is strongly induced in response to heat stress. HSP 70 and HSC 70 play key roles in the cytosolic endoplasmic reticulum and mitochondrial import machinery and are found in both the cytosol and nucleus of mammalian cells. GRP 78 is localized in the endoplasmic reticulum, where it receives imported secretory proteins and is involved in the folding and translocation of nascent peptide chains. GRP 75 expression is restricted to the mitochondrial matrix and aids in the translocation and folding of nascent polypeptide chains of both nuclear and mitochondrial origin. It has been postulated that members of the HSP 70 family act as force-generating motors, relying on the hydrolysis of ATP for their activity.
Especificaciones
| HSPA4 | |
| Recombinant Monoclonal | |
| 1 mg/mL | |
| PBS with 50% glycerol and 0.02% sodium azide; pH 7.2 | |
| O88600, P34932, Q61316 | |
| HSPA4 | |
| Recombinant HSPA4. | |
| 100 μL | |
| Primary | |
| Human, Mouse, Rat | |
| Antibody | |
| IgG |
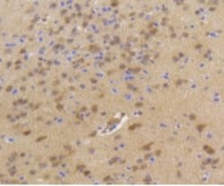
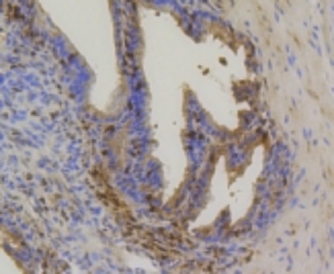
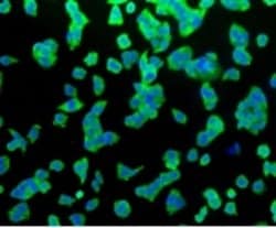
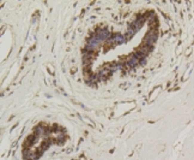
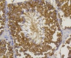
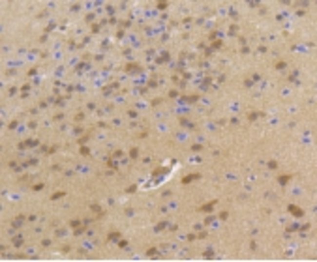
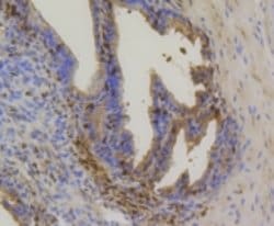
| Flow Cytometry, Immunohistochemistry (Paraffin), Western Blot, Immunocytochemistry | |
| 3B3 | |
| Unconjugated | |
| HSPA4 | |
| 70kDa; AI317151; APG2; APG-2; epididymis secretory sperm binding protein Li 5a; heat shock 70 kDa protein 4; heat shock 70kD protein 4; heat shock 70kDa protein 4; Heat shock 70-related protein APG-2; Heat shock protein; heat shock protein 4; heat shock protein Apg-2; heat shock protein family A (Hsp70) member 4; heat shock protein, 110 kDa; HEL-S-5a; HS24/P52; Hsp110; hsp70; hsp70 RY; Hsp70RY; Hspa4; HSPH2; Irp94; ischemia responsive 94 kDa protein; mKIAA4025; RY | |
| Rabbit | |
| Protein A | |
| RUO | |
| 15525, 266759, 3308 | |
| Store at 4°C short term. For long term storage, store at -20°C, avoiding freeze/thaw cycles. | |
| Liquid |
Proporcione sus comentarios sobre el contenido del producto rellenando el siguiente formulario.