missing translation for 'onlineSavingsMsg'
Learn More
Learn More
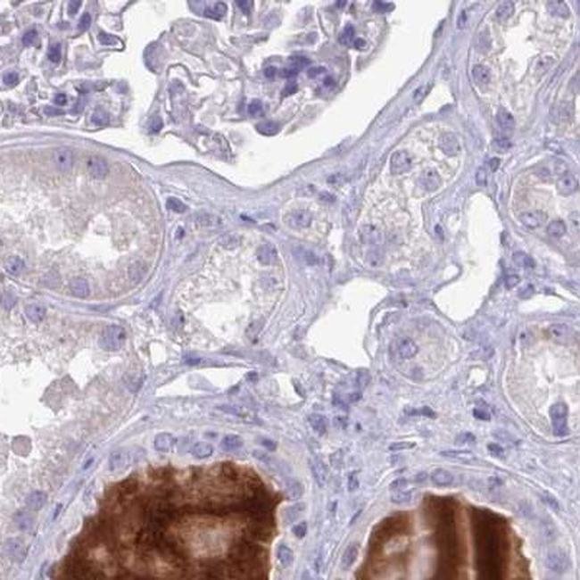
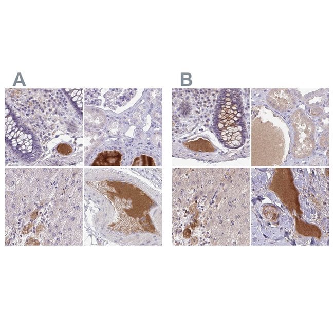
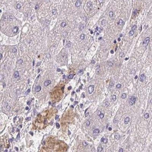
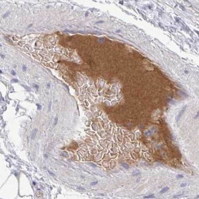
Invitrogen™ HGF Activator Polyclonal Antibody

Rabbit Polyclonal Antibody
Marca: Invitrogen™ PA563545
Este artículo no se puede devolver.
Vea la política de devoluciones
Descripción
Immunogen sequence: DERPWCYVVK DSALSWEYCR LEACESLTRV QLSPDLLATL PEPASPGRQA CGRRHKKRTF LRPRIIGGSS SLPGSHPWLA AIYIG Highest antigen sequence identity to the following orthologs: Mouse - 80%, Rat - 83%.
This gene encodes a member of the peptidase S1 protein family. The encoded protein is first synthesized as an inactive single-chain precursor before being activated to a heterodimeric form by endoproteolytic processing. It acts as serine protease that converts hepatocyte growth factor to the active form. Alternative splicing results in multiple transcript variants.
Especificaciones
| HGF Activator | |
| Polyclonal | |
| Unconjugated | |
| Hgfac | |
| hepatocyte growth factor activator; Hepatocyte growth factor activator long chain; Hepatocyte growth factor activator short chain; HGF activator; HGFA; Hgfac | |
| Rabbit | |
| Antigen affinity chromatography | |
| RUO | |
| 3083 | |
| Store at 4°C short term. For long term storage, store at -20°C, avoiding freeze/thaw cycles. | |
| Liquid |
| Immunohistochemistry (Paraffin) | |
| 0.2 mg/mL | |
| PBS with 40% glycerol and 0.02% sodium azide; pH 7.2 | |
| Q04756 | |
| Hgfac | |
| Recombinant protein corresponding to Human HGF Activator. Recombinant protein control fragment (Product #RP-101193). | |
| 100 μL | |
| Primary | |
| Human | |
| Antibody | |
| IgG |
Corrección del contenido de un producto
Proporcione sus comentarios sobre el contenido del producto rellenando el siguiente formulario.
Título del producto
¿Detecta una oportunidad de mejora?Comparta una corrección de contenido