missing translation for 'onlineSavingsMsg'
Learn More
Learn More
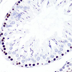
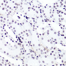
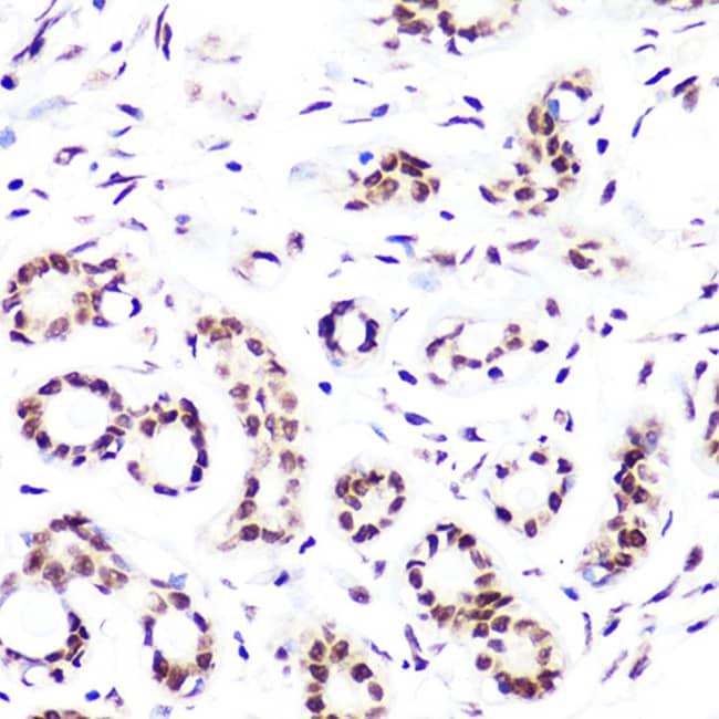
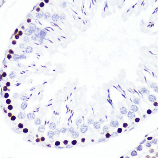
Invitrogen™ H3K4me2 Polyclonal Antibody

Descripción
Positive Samples: HeLa, H3 protein; Cellular Location: Chromosome, Nucleus Immunogen sequence: ARTKQTARKS TGGKAPRK.
Histone H3 is one of the DNA-binding proteins found in the chromatin of all eukaryotic cells. H3 along with four core histone proteins binds to DNA forming the structure of the nucleosome. Histones play a central role in transcription regulation, DNA repair, DNA replication and chromosomal stability. Post translationally, histones are modified in a variety of ways to either directly change the chromatin structure or allow for the binding of specific transcription factors. The N-terminal tail of histone H3 protrudes from the globular nucleosome core and can undergo several different types of post-translational modification that influence cellular processes. These modifications include the covalent attachment of methyl or acetyl groups to lysine and arginine amino acids and the phosphorylation of serine or threonine.
Especificaciones
Especificaciones
| Antígeno | H3K4me2 |
| Aplicaciones | ChIP Assay, ChIP sequencing (ChIP-seq), Dot Blot, ELISA, Immunohistochemistry (Paraffin), Western Blot, Immunocytochemistry |
| Clasificación | Polyclonal |
| Concentración | 0.28 mg/mL |
| Conjugado | Unconjugated |
| Formulación | PBS with 50% glycerol and 0.09% sodium azide; pH 7.3 |
| génica | H3C1 |
| N.º de referencia del gen | P68431, P68433, P84228, P84243, P84244, Q71DI3 |
| Alias de gen | Di histone H3/c; dimethyl H3; di-methyl H3; Dimethyl Histone H3; di-methyl histone H3; Di-Methyl-H3 K4; Di-Methyl-H3 Lys4; Di-Methyl-Histone H3 K4; Di-Methyl-Histone H3 Lys4; H3; H3 histone; H3 histone family, member A; H3 histone family, member I; H3 histone family, member K; H3 histone family, member L; H3 histone family, member M; H3 histone, family 2; H3 histone, family 3A; H3 histone, family 3B; H3 histone, family 3B (H3.3B); H3 histone, family 3C; H3 K4me2; H3.1-221; H3.1-291; H3.1-I; H3.2; H3.2-221; H3.2-614; H3.2-615; H3.2-616; H3.3A; H3.3B; H3.5; H3/A; H3/b; H3/d; H3/f; H3/i; H3/j; H3/k; H3/l; H3/M; H3/n; H3/o; H3-143; H3-291; H3-3A; H3-3b; H3-53; H3-614; H3a; H3b; H3-B; H3C1; H3c10; H3c11; H3C12; H3C2; H3C3; H3C4; H3C6; H3C7; H3c8; H3f; H3-F; H3F1K; H3F2; H3F3; H3F3A; H3f3b; H3F3C; H3FA; H3FB; H3FC HIST1H3C; H3FD; H3FF; H3FH; H3FI; H3FJ; H3FK; H3FL; H3FM; H3FN; H3g; H3h; H3i; H3K4; H3Lys4me2; Hist1; HIST1H3A; HIST1H3B; Hist1h3c; Hist1h3d; Hist1h3e; Hist1h3f; Hist1h3g; HIST1H3H; Hist1h3i; HIST1H3J; HIST2H3A; Hist2h3b; HIST2H3C; Hist2h3c1; Hist2h3c2; Hist2h3c2-ps; Hist2h3ca1; Hist2h3ca2; HIST2H3D; histone 1, H3a; histone 1, H3b; histone 1, H3f; histone 1, H3h; histone 2, H3a; histone 2, H3c; histone 2, H3c2; histone 2, H3ca2; Histone 3; histone cluster 1, H3a; histone cluster 1, H3b; histone cluster 1, H3f; histone cluster 1, H3h; histone cluster 2, H3a; histone cluster 2, H3c; histone cluster 2, H3c2; histone cluster 2, H3c2, pseudogene; histone gene complex 1; histone H3; histone H3.1; Histone H3.2; histone H3.3; Histone H3.3C; histone H3.5; Histone H3/a; Histone H3/b; Histone H3/c; Histone H3/d; Histone H3/f; Histone H3/h; Histone H3/i; Histone H3/j; Histone H3/k; histone H3/l; Histone H3/m; histone H3/o; Histone H3K4; Histone H3K4me2; histone variant H3.5; M32461; methyl Histone 3; methyl Histone H3; PP781 |
| Símbolos de los genes | H3C1, H3C10, H3C12, H3C14, H3C15, H3C2, H3C7, H3F3A, HIST1H3A, HIST2H3A |
| Mostrar más |
Título del producto
Al hacer clic en Enviar, acepta que Fisher Scientific se ponga en contacto con usted en relación con los comentarios que ha proporcionado en este formulario. No compartiremos su información para ningún otro fin. Toda la información de contacto proporcionada se mantendrá de acuerdo con nuestra Política de Privacidad. Política de privacidad.
¿Detecta una oportunidad de mejora?