missing translation for 'onlineSavingsMsg'
Learn More
Learn More
Invitrogen™ GSTM3 Monoclonal Antibody (1G1F1)

Mouse Monoclonal Antibody
Marca: Invitrogen™ MA550282
Este artículo no se puede devolver.
Vea la política de devoluciones
Descripción
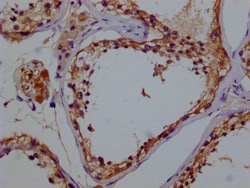
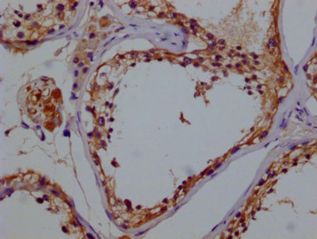
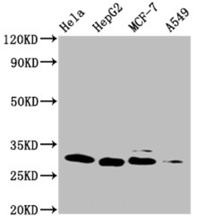
GSTM3 Monoclonal Antibody for Western Blot, IHC (P), Flow, ELISA
Glutathione S-transferase M3 (brain), also known as GSTM3, is an enzyme which in humans is encoded by theGSTM3 gene. Cytosolic and membrane-bound forms of glutathione S-transferase are encoded by two distinct supergene families. At present, eight distinct classes of the soluble cytoplasmic mammalian glutathione S-transferases have been identified: alpha, kappa, mu, omega, pi, sigma, theta and zeta. This gene encodes a glutathione S-transferase that belongs to the mu class. The mu class of enzymes functions in the detoxification of electrophilic compounds, including carcinogens, therapeutic drugs, environmental toxins and products of oxidative stress, by conjugation with glutathione. The genes encoding the mu class of enzymes are organized in a gene cluster on chromosome 1p13. 3 and are known to be highly polymorphic. These genetic variations can change an individual's susceptibility to carcinogens and toxins as well as affect the toxicity and efficacy of certain drugs. Mutations of this class mu gene have been linked with a slight increase in a number of cancers, likely due to exposure with environmental toxins.
Especificaciones
| GSTM3 | |
| Monoclonal | |
| 2 mg/mL | |
| PBS with 50% glycerol and 0.03% Proclin 300; pH 7.4 | |
| P21266 | |
| GSTM3 | |
| Recombinant Human Glutathione S-transferase Mu 3 protein (1-225AA). | |
| 100 μL | |
| Primary | |
| Human | |
| Antibody | |
| IgG1 |
| ELISA, Flow Cytometry, Immunohistochemistry (Paraffin), Western Blot | |
| 1G1F1 | |
| Unconjugated | |
| GSTM3 | |
| brain GST; brain type mu-glutathione S-transferase; Fsc2; glutathione S-alkyltransferase M3; glutathione S-aralkyltransferase M3; glutathione S-aryltransferase M3; glutathione S-transferase GT9.3; glutathione S-transferase M3 (brain); glutathione S-transferase Mu 3; glutathione S-transferase mu 3 (brain); glutathione S-transferase, mu 3; glutathione S-transferase, Mu-3; GST class-mu 3; GST5; GSTB; GSTM3; GSTM3-3; GTM3; hGSTM3-3; mGSTM5; S-(hydroxyalkyl)glutathione lyase M3 | |
| Mouse | |
| Protein G | |
| RUO | |
| 2947 | |
| -20°C or -80°C if preferred | |
| Liquid |
Corrección del contenido de un producto
Proporcione sus comentarios sobre el contenido del producto rellenando el siguiente formulario.
Título del producto
¿Detecta una oportunidad de mejora?Comparta una corrección de contenido