Learn More
Invitrogen™ Glutamine Synthetase Monoclonal Antibody (GT1055)

Mouse Monoclonal Antibody
Marca: Invitrogen™ MA527749
Descripción
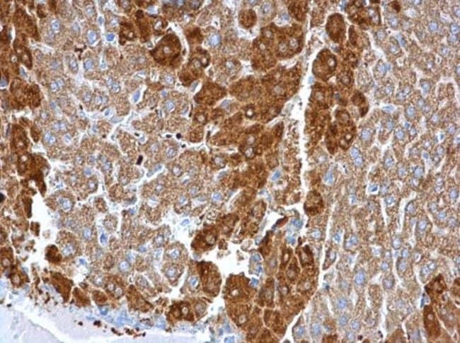
Positive Control: 293T, HeLa, HepG2, U87-MG, SK-N-SH, IMR32, SK-N-AS, mouse brain, mouse eye, rat brain Predicted Reactivity: Xenopus laevis (85%), Dog (97%), Pig (96%), Chicken (88%), Rhesus Monkey (100%), Chimpanzee (99%), Bovine (96%) Store product as a concentrated solution. Centrifuge briefly prior to opening the vial.
Glutamine synthase is part of the glutamine synthetase family. Ammonia incorporation in animals occurs through the actions of glutamate dehydrogenase and glutamine synthase. Glutamate plays the central role in mammalian nitrogen flow, serving as both a nitrogen donor and nitrogen acceptor. It also has an important role in controlling metabolic regulations of neurotransmitter glutamate. Because of the multiple functions and importance of GS in cellular metabolism, both catalytic activities and synthesis are highly regulated. The activity of GS is controlled by adenylylation. Its activity is decreased in the cerebral cortex of brains affected by Alzheimer's disease, particularly in the vicinity of senile plaques. It is also decreased under conditions of glucose deprivation.
Especificaciones
| Glutamine Synthetase | |
| Monoclonal | |
| 1 mg/mL | |
| PBS with no preservative | |
| P09606, P15104, P15105 | |
| GLUL | |
| Full length human Glutamine synthetase Recombinant protein. | |
| 100 μL | |
| Primary | |
| Human, Mouse, Rat | |
| Antibody | |
| IgG1 |
| Immunohistochemistry (Frozen), Immunohistochemistry (Paraffin), Western Blot, Immunocytochemistry | |
| GT1055 | |
| Unconjugated | |
| GLUL | |
| cell proliferation-inducing protein 59; GLNA; GLNS; Glul; GLUL protein; Glutamate ammonia ligase; glutamate decarboxylase; glutamate-ammonia ligase; glutamate--ammonia ligase; glutamate-ammonia ligase (glutamine synthase); glutamate-ammonia ligase (glutamine synthetase); glutamine synthase; glutamine synthetase; Glutamine synthetase (glutamate-ammonia ligase); glutamine synthetase 1; glutamine synthetase I; GS; Palmitoyltransferase GLUL; PIG43; PIG59; Proliferation inducing protein 43; proliferation-inducing protein 43 | |
| Mouse | |
| Protein G | |
| RUO | |
| 14645, 24957, 2752 | |
| Store at 4°C short term. For long term storage, store at -20°C, avoiding freeze/thaw cycles. | |
| Liquid |
Proporcione sus comentarios sobre el contenido del producto rellenando el siguiente formulario.