missing translation for 'onlineSavingsMsg'
Learn More
Learn More
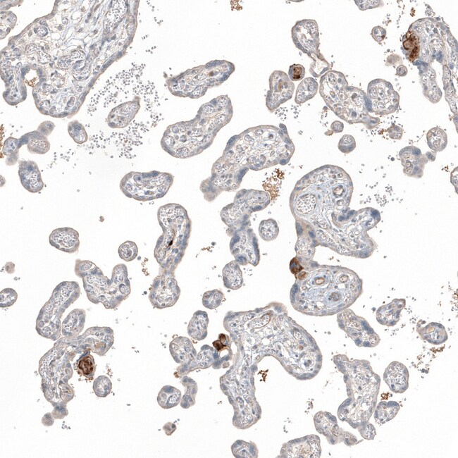
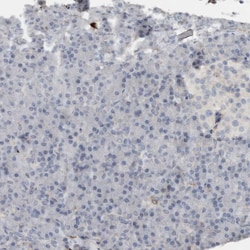
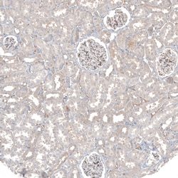
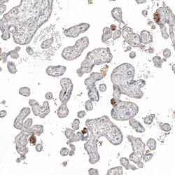
Invitrogen™ Fibronectin Polyclonal Antibody

Descripción
Immunogen sequence: HEEICTTNEG VMYRIGDQWD KQHDMGHMMR CTCVGNGRGE WTCIAYSQLR DQCIVDDITY NVNDTFHKRH EEGHMLNCTC FGQGRGRWKC DPVDQCQDSE TGTFYQIGDS WEKYVHGVRY QCYCYGRGIG Highest antigen sequence indentity to the following orthologs: Rat - 95%, Mouse - 95%.
Fibronectin is a disulfide-bonded dimer with a molecular weight range of 230-250 kDa. In the extracellular matrix of several connective tissues and vessels, fibronectin is present as an insoluble protein that is extensively cross-linked by interchain disulfide bonds forming high molecular mass polymers. Fibronectin is most abundant during embryonic development and tissue remodeling. Fibronectin is also present at high concentrations as a soluble plasma protein. Fibronectin is organized as a linear series of repeating modules which form domains for interaction with fibronectin itself, other matrix components (e.g. collagen and heparin) and receptors on cells (e.g. integrins). Fibronectin is present in a soluble dimeric form in plasma, and in a dimeric or multimeric form at the cell surface and in extracellular matrix. Fibronectin is involved in cell adhesion and migration processes including embryogenesis, wound healing, blood coagulation, host defense, and metastasis. Fibronectin has been implicated in carcinoma development in lung cancer. Further, Fibronectin expression is increased especially in non-small cell lung carcinoma. The adhesion of lung carcinoma cells to Fibronectin enhances tumorgenecity and confers resistance to apoptosis induced by standard chemotherapeutic agents. The gene encoding Fibronectin has three regions subject to alternative splicing, with the potential to produce 20 different transcript variants. However, the full-length nature of some Fibronectin variants has not been determined.
Especificaciones
Especificaciones
| Antígeno | Fibronectin |
| Aplicaciones | Immunohistochemistry (Paraffin), Western Blot |
| Clasificación | Polyclonal |
| Concentración | 0.2 mg/mL |
| Conjugado | Unconjugated |
| Formulación | PBS with 40% glycerol and 0.02% sodium azide; pH 7.2 |
| génica | FN1 |
| N.º de referencia del gen | P02751 |
| Alias de gen | Anastellin; CIG; Cold insoluble globulin (CIG); Cold-insoluble globulin; cumulus cell-specific fibronectin 1 transcript; DKFZp686F10164; DKFZp686H0342; DKFZp686I1370; DKFZp686O13149; E330027I09; ED-B; embryo-specific fibronectin 1 transcript; ferritin L subunit; ferritin L-chain; FIBNEC; fibronectin; fibronectin 1; fibronectin ED-A- region; fibronectin ED-B+ region; fibronectin variable region; FINC; FN; FN1; fn-1; FNZ; GFND; GFND2; LETS; LOW QUALITY PROTEIN: fibronectin; Migration stimulating factor (MSF); migration-stimulating factor; MSF; Ugl-Y1; Ugl-Y2; Ugl-Y3 |
| Símbolos de los genes | FN1 |
| Mostrar más |
Título del producto
Al hacer clic en Enviar, acepta que Fisher Scientific se ponga en contacto con usted en relación con los comentarios que ha proporcionado en este formulario. No compartiremos su información para ningún otro fin. Toda la información de contacto proporcionada se mantendrá de acuerdo con nuestra Política de Privacidad. Política de privacidad.
¿Detecta una oportunidad de mejora?