missing translation for 'onlineSavingsMsg'
Learn More

Invitrogen™ FAP Monoclonal Antibody (D3), Invitrogen™

Código de producto. 17970893
Change view
Click to view available options
Cantidad:
20 μL
200 μL
Tamaño de la unidad:
20 microlitros
200 microlitros
Código de producto. Cantidad unitSize
17970893 20 μL 20 microlitros
17910903 200 μL 200 microlitros
2 options
Este artículo no se puede devolver. Vea la política de devoluciones

Código de producto. 17970893

Marca: Invitrogen™ MA551180

Por favor, para comprar este producto. ¿No tiene usuario web? Regístrese hoy mismo.

Este artículo no se puede devolver. Vea la política de devoluciones

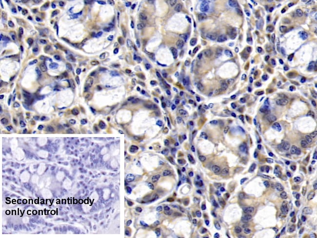
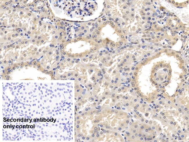
Mouse Monoclonal Antibody

The protein encoded by this gene is a homodimeric integral membrane gelatinase belonging to the serine protease family. It is selectively expressed in reactive stromal fibroblasts of epithelial cancers, granulation tissue of healing wounds, and malignant cells of bone and soft tissue sarcomas. This protein is thought to be involved in the control of fibroblast growth or epithelial-mesenchymal interactions during development, tissue repair, and epithelial carcinogenesis.
TRUSTED_SUSTAINABILITY

Especificaciones

Antígeno FAP
Aplicaciones Immunohistochemistry (Paraffin), Western Blot
Clasificación Monoclonal
Clon D3
Concentración 1 mg/mL
Conjugado Unconjugated
Formulación PBS with 50% glycerol and 0.05% Proclin 300; pH 7.4
génica FAP
N.º de referencia del gen Q12884
Alias de gen 170 kDa melanoma membrane-bound gelatinase; Antiplasmin-cleaving enzyme FAP, soluble form; APCE; Dipeptidyl peptidase FAP; DPPIV; Fap; FAPA; FAPalpha; fibroblast activation protein; fibroblast activation protein alpha; fibroblast activation protein, alpha; gelatine degradation protease FAP; Integral membrane serine protease; post-proline cleaving enzyme; Prolyl endopeptidase FAP; seprase; Serine integral membrane protease; SIMP; Surface-expressed protease
Símbolos de los genes FAP
Especie del huésped Mouse
Inmunógeno Recombinant Human FAPa protein, Ile523-Asp760 (Accession #Q12884).
Método de purificación Protein A/G
Cantidad 20 μL
Estado normativo RUO
Primario o secundario Primary
ID de gen (Entrez) 100736572, 2191
Especies diana Human, Pig
Contenido y almacenamiento Store at 4°C short term. For long term storage, store at -20°C, avoiding freeze/thaw cycles.
Tipo de producto Antibody
Formulario Liquid
Isotype IgG2b κ
Mostrar más Mostrar menos
Título del producto
Seleccione un problema

Al hacer clic en Enviar, acepta que Fisher Scientific se ponga en contacto con usted en relación con los comentarios que ha proporcionado en este formulario. No compartiremos su información para ningún otro fin. Toda la información de contacto proporcionada se mantendrá de acuerdo con nuestra Política de Privacidad. Política de privacidad.