missing translation for 'onlineSavingsMsg'
Learn More
Learn More
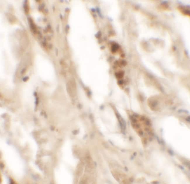
Invitrogen™ DBX2 Polyclonal Antibody

Rabbit Polyclonal Antibody
Marca: Invitrogen™ PA534391
Este artículo no se puede devolver.
Vea la política de devoluciones
Descripción
A suggested positive control is human kidney tissue lysate. PA5-34391 can be used with blocking peptide PEP-1434.
DBX2 is a member of the developing brain homeobox (DBX) protein family, but while the related protein DBX1 is expressed in various regions of the developing brain, DBX2 shows a more restricted pattern of expression in the brain, and is also expressed in some mesenchymal cells such as limb buds and tooth germs. It is thought that DBX1 and DBX2 promote the development of a subset of interneurons, some of which help mediate left-right coordination of locomotor activity. In Xenopus, DBX2 is involved in primary neurogenesis and early neural plate patterning, and is thought to act as a cross-repressive partner of NKX6-2 in the patterning of the ventral neural tube.
Especificaciones
| DBX2 | |
| Polyclonal | |
| Unconjugated | |
| DBX2 | |
| 9430056A22Rik; 9630005K15; AI846217; DBX2; developing brain homeobox 2; developing brain homeobox protein 2; Gm1229; Homeobox protein DBX2 | |
| Rabbit | |
| Antigen affinity chromatography | |
| RUO | |
| 440097, 541457 | |
| Maintain refrigerated at 2°C to 8°C for up to 3 months. For long term storage store at -20°C | |
| Liquid |
| Immunohistochemistry, Western Blot | |
| 1 mg/mL | |
| PBS with 0.02% sodium azide | |
| Q6ZNG2 | |
| DBX2 | |
| A 16 amino acid synthetic peptide near the amino terminus of human DBX2. | |
| 100 μg | |
| Primary | |
| Human, Rat | |
| Antibody | |
| IgG |
Corrección del contenido de un producto
Proporcione sus comentarios sobre el contenido del producto rellenando el siguiente formulario.
Título del producto
¿Detecta una oportunidad de mejora?Comparta una corrección de contenido