missing translation for 'onlineSavingsMsg'
Learn More
Learn More
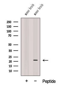
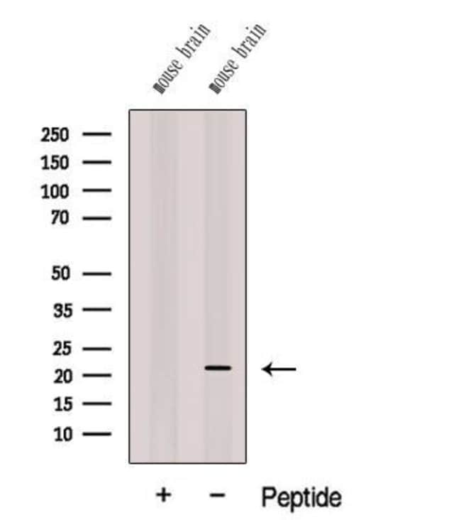
Invitrogen™ CPLX3 Polyclonal Antibody

Rabbit Polyclonal Antibody
Marca: Invitrogen™ PA5104341
Este artículo no se puede devolver.
Vea la política de devoluciones
Descripción
Antibody detects endogenous levels of total CPLX3.
Positively regulates a late step in synaptic vesicle exocytosis.
Especificaciones
| CPLX3 | |
| Polyclonal | |
| Unconjugated | |
| Cplx3 | |
| BC016632; complexin 3; complexin III; Complexin-3; CPLX3; CPX III; CpxIII; CPX-III; ERGIC-53L; ERGL; Lamn1l; lectin, mannose-binding, 1 like; Lman1l; Nbla11589; RGD1560104 | |
| Rabbit | |
| Affinity chromatography | |
| RUO | |
| 235415, 501005, 594855 | |
| -20°C | |
| Liquid |
| Western Blot | |
| 1 mg/mL | |
| PBS with 50% glycerol and 0.02% sodium azide; pH 7.4 | |
| Q8R1B5, Q8WVH0 | |
| Cplx3 | |
| A synthesized peptide derived from human CPLX3(Accession Q8WVH0), corresponding to amino acid residues M1-Q48. | |
| 100 μL | |
| Primary | |
| Human, Mouse, Rat | |
| Antibody | |
| IgG |
Corrección del contenido de un producto
Proporcione sus comentarios sobre el contenido del producto rellenando el siguiente formulario.
Título del producto
¿Detecta una oportunidad de mejora?Comparta una corrección de contenido