missing translation for 'onlineSavingsMsg'
Learn More
Learn More
Invitrogen™ Cathepsin L Monoclonal Antibody (33/2)

Mouse Monoclonal Antibody
Marca: Invitrogen™ MA126774
Este artículo no se puede devolver.
Vea la política de devoluciones
Descripción
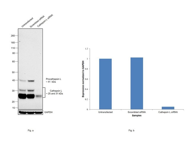
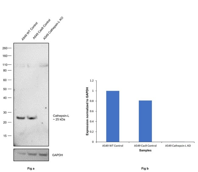
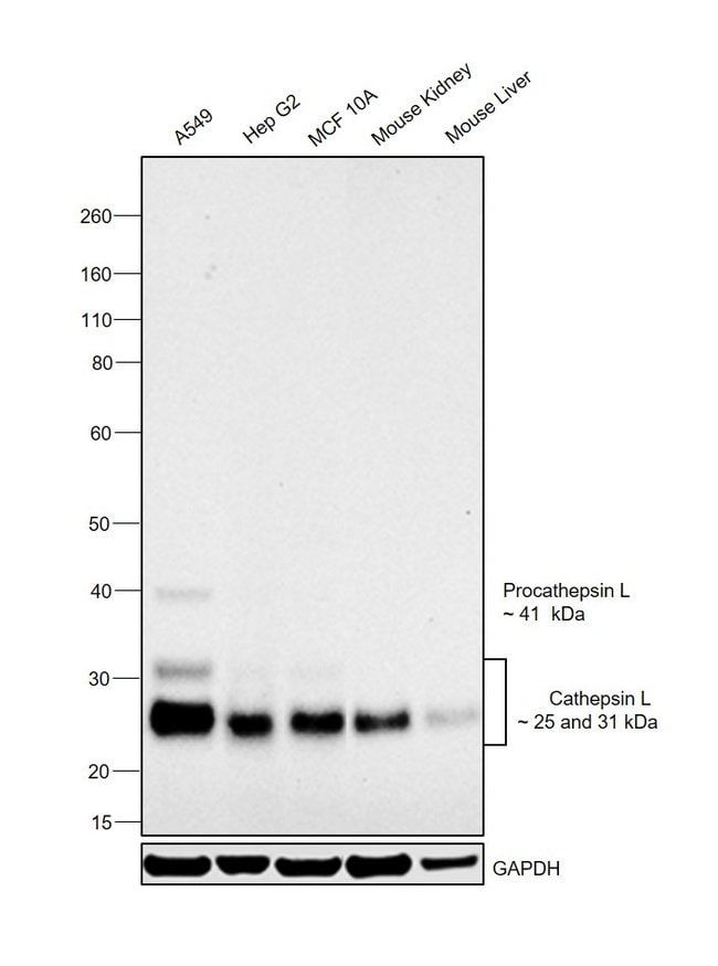
Recommended positive controls: mink lung cell.
The protein encoded by this gene is a lysosomal cysteine proteinase that plays a major role in intracellular protein catabolism. Its substrates include collagen and elastin, as well as alpha-1 protease inhibitor, a major controlling element of neutrophil elastase activity. The encoded protein has been implicated in several pathologic processes, including myofibril necrosis in myopathies and in myocardial ischemia, and in the renal tubular response to proteinuria. This protein, which is a member of the peptidase C1 family, is a dimer composed of disulfide-linked heavy and light chains, both produced from a single protein precursor. At least two transcript variants encoding the same protein have been found for this gene.
Especificaciones
| Cathepsin L | |
| Monoclonal | |
| 4.3 mg/mL | |
| Ascites with 15mM sodium azide | |
| P06797, P07154, P07711 | |
| CTSL | |
| Procathepsin L isolated from the human lung cancer cell line EPLC 32M1. | |
| RUO | |
| 13039, 1514, 25697 | |
| Store at 4°C short term. For long term storage, store at -20°C, avoiding freeze/thaw cycles. | |
| Liquid |
| ELISA, Immunohistochemistry (Frozen), Western Blot | |
| 33/2 | |
| Unconjugated | |
| CTSL | |
| 1190035F06Rik; Cat L; cathepsin L; Cathepsin L1; Cathepsin L1 heavy chain; Cathepsin L1 light chain; CATHL; CatL; CP-2; Ctsl; CTSL1; cyclic protein 2; fs; furless; major excreted protein; MEP; nackt; nkt; p39 cysteine proteinase; Procathepsin L | |
| Mouse | |
| 100 μL | |
| Primary | |
| Human, Mink, Mouse, Rat | |
| Antibody | |
| IgG1 |
Corrección del contenido de un producto
Proporcione sus comentarios sobre el contenido del producto rellenando el siguiente formulario.
Título del producto
¿Detecta una oportunidad de mejora?Comparta una corrección de contenido