Learn More
Invitrogen™ Caspase 8 Recombinant Rabbit Monoclonal Antibody (SZ01-08)

Descripción
Recombinant rabbit monoclonal antibodies are produced using in vitro expression systems. The expression systems are developed by cloning in the specific antibody DNA sequences from immunoreactive rabbits. Then, individual clones are screened to select the best candidates for production. The advantages of using recombinant rabbit monoclonal antibodies include: better specificity and sensitivity, lot-to-lot consistency, animal origin-free formulations, and broader immunoreactivity to diverse targets due to larger rabbit immune repertoire.
Especificaciones
Especificaciones
| Antígeno | Caspase 8 |
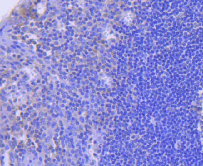
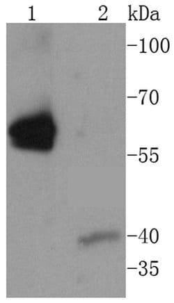
| Aplicaciones | Immunohistochemistry (Paraffin), Western Blot, Immunocytochemistry, Western Blot |
| Clasificación | Recombinant Monoclonal |
| Clon | SZ01-08 |
| Concentración | 1 mg/mL |
| Conjugado | Unconjugated |
| Formulación | TBS with 0.05% BSA, 40% Glycerol and 0.05% sodium azide; pH 7.4 |
| génica | Casp8 |
| N.º de referencia del gen | Q14790 |
| Alias de gen | ALPS2B; apoptosis-related cysteine peptidase; apoptotic cysteine protease; Apoptotic protease Mch-5; CAP4; CASP8; CASP-8; caspase 8; caspase 8, apoptosis-related cysteine peptidase; caspase 8, apoptosis-related cysteine protease; Caspase8; caspase-8; Caspase-8 precursor; Caspase-8 subunit p10; Caspase-8 subunit p18; EC 3.4.22.61; FADD-homologous ICE/ced-3-like protease; FADD-like ICE; Fas-linked ICE-like protease; FLICE; FLJ17672; ICE8; ICE-like apoptotic protease 5; MACH; MACH-alpha-1/2/3 protein; MACH-beta-1/2/3/4 protein; MCH5; MGC78473; MORT1-associated ced-3 homolog; OTTHUMP00000163720; OTTHUMP00000165063; OTTHUMP00000206557; OTTHUMP00000206581 |
| Mostrar más |
Al hacer clic en Enviar, acepta que Fisher Scientific se ponga en contacto con usted en relación con los comentarios que ha proporcionado en este formulario. No compartiremos su información para ningún otro fin. Toda la información de contacto proporcionada se mantendrá de acuerdo con nuestra Política de Privacidad. Política de privacidad.