missing translation for 'onlineSavingsMsg'
Learn More

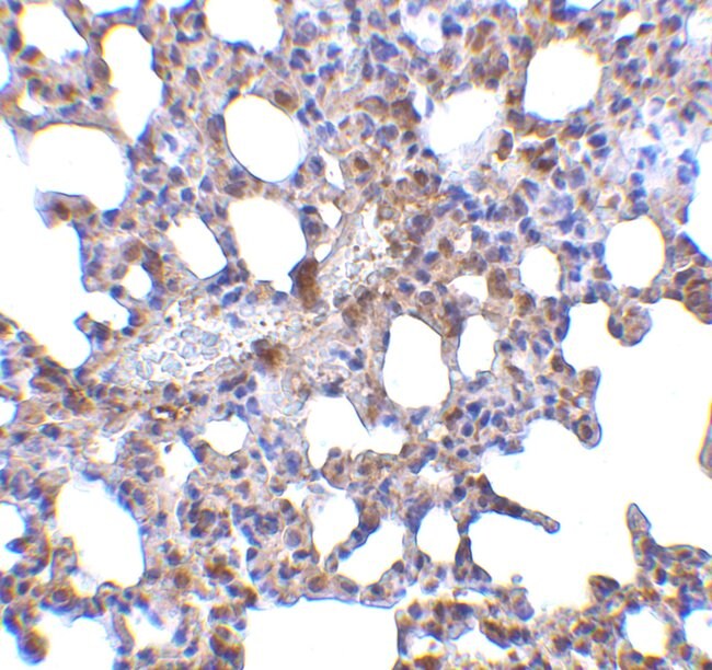
Invitrogen™ Blimp-1 Polyclonal Antibody

Código de producto. 12848452
Change view
Click to view available options
Cantidad:
100 μg
Tamaño de la unidad:
100 microgramos
1 product options available for selection
Product selection table with 1 available options. Use arrow keys to navigate and Enter or Space to select.
Código de producto. Cantidad unitSize
12848452 100 μg 100 microgramos
Use arrow keys to navigate between rows. Press Enter or Space to select a product option. 1 options available.
1 options
Este artículo no se puede devolver. Vea la política de devoluciones
Código de producto. 12848452 Proveedor Invitrogen™ N.º de proveedor PA520313

Por favor, para comprar este producto. ¿No tiene usuario web? Regístrese hoy mismo.

Este artículo no se puede devolver. Vea la política de devoluciones

Rabbit Polyclonal Antibody

A suggested positive control is mouse lung tissue lysate. PA5-20313 can be used with blocking peptide PEP-0433.

Blimp-1 (B lymphocyte maturation protein-1) is a nuclear protein with five zinc fingers in its carboxy terminus. It is a transcriptional repressor that is both required and sufficient to trigger terminal differentiation of B lymphocytes and monocyte/macrophages. Blimp-1 is expressed in, and may be required for terminally differentiated epithelial cells, retinal neurons and other lineage cells. It has also been implicated in the repression of beta-interferon (IFN-beta) and c-myc gene expression.
TRUSTED_SUSTAINABILITY

Especificaciones

Antígeno Blimp-1
Aplicaciones Immunohistochemistry, Western Blot
Clasificación Polyclonal
Concentración 1 mg/mL
Conjugado Unconjugated
Formulación PBS with 0.02% sodium azide
génica PRDM1
N.º de referencia del gen O75626, Q60636
Alias de gen B lymphocyte-induced maturation protein 1; b2b1765Clo; Beta-interferon gene positive regulatory domain I-binding factor; beta-interferon gene positive-regulatory domain I binding factor; BLIMP 1; Blimp1; BLIMP-1; B-lymphocyte-induced maturation protein 1; MGC118922; MGC118923; MGC118924; MGC118925; OTTHUMP00000016918; OTTHUMP00000202173; Positive regulatory domain I-binding factor 1; PR domain 1; PR domain containing 1, with ZNF domain; PR domain zinc finger protein 1; PR domain-containing protein 1; PR/SET domain 1; PRDI BF1; PRDI-BF1; PRDI-binding factor-1; Prdm1; RP1-134E15.1; ZNFPR1A1
Símbolos de los genes PRDM1
Especie del huésped Rabbit
Inmunógeno A 17 amino acid peptide from near the amino terminus of human Blimp-1.
Método de purificación Antigen affinity chromatography
Cantidad 100 μg
Estado normativo RUO
Primario o secundario Primary
ID de gen (Entrez) 12142, 309871, 639
Especies diana Human, Mouse, Rat
Contenido y almacenamiento Maintain refrigerated at 2°C to 8°C for up to 3 months. For long term storage store at -20°C
Tipo de producto Antibody
Formulario Liquid
Isotype IgG
Mostrar más Mostrar menos
Título del producto
Seleccione un problema

Al hacer clic en Enviar, acepta que Fisher Scientific se ponga en contacto con usted en relación con los comentarios que ha proporcionado en este formulario. No compartiremos su información para ningún otro fin. Toda la información de contacto proporcionada se mantendrá de acuerdo con nuestra Política de Privacidad. Política de privacidad.