Learn More
Invitrogen™ Basiliximab Chimeric Recombinant Human Monoclonal Antibody (Basiliximab)

Human Recombinant Monoclonal Antibody
Marca: Invitrogen™ MA547835
Descripción
Specificity: Basiliximab recognises the human IL-2R and binds to the epitope (116)ERIYHFV(122) within the extracellular domain of the CD25 subunit-binding is abolished when 2 or more residues within the epitope are mutated. This epitope overlaps with the interaction site of CD25 and IL-2. CD25 is found in the high-affinity IL-2R (alpha-Beta-gamma-c)-T cells only express CD25 upon activation. IL-2 binding to IL-2R on T cells modulates proliferation and differentiation.
A recombinant chimeric (murine/human) monoclonal antibody (IgG1k) that functions as an immunosuppressive agent, specifically binding to and blocking the interleukin-2 receptor a-chain (IL-2R alpha, also known as CD25 antigen) on the surface of activated T-lymphocytes. It is a 144 kDa glycoprotein obtained from fermentation of an established mouse myeloma cell line genetically engineered to express plasmids containing the human heavy and light chain constant region genes and mouse heavy and light chain variable region genes encoding the RFT5 antibody that binds selectively to the IL-2R alpha. Basiliximab binds with high-affinity to the alpha-subunit (CD25) of the high-affinity IL-2 receptor. This inhibits IL-2 binding, which inhibits T-cell activation and prevents the body from mounting an immune response against the foreign kidney.
Especificaciones
| Basiliximab Chimeric | |
| Recombinant Monoclonal | |
| 1 mg/mL | |
| PBS with 0.02% ProClin 300 | |
| Human | |
| Protein A | |
| RUO | |
| Human, Rhesus Macaque, Cynomolgus Monkey | |
| Antibody | |
| IgG1 κ |
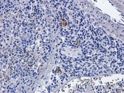
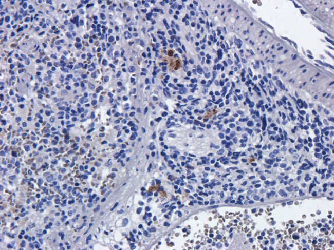
| Flow Cytometry, Inhibition Assays, Immunohistochemistry (PFA fixed), Western Blot, Immunocytochemistry | |
| Basiliximab | |
| Unconjugated | |
| CHI621 | |
| Basiliximab was prepared by immunizing BALB/c mice with CTC 16 cells. | |
| 200 μg | |
| Primary | |
| Store at 4°C short term. For long term storage, store at -20°C, avoiding freeze/thaw cycles. | |
| Liquid |
Proporcione sus comentarios sobre el contenido del producto rellenando el siguiente formulario.