missing translation for 'onlineSavingsMsg'
Learn More
Learn More
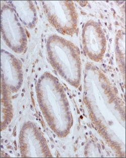
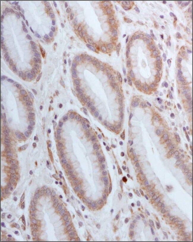
Invitrogen™ SLC7A11 Polyclonal Antibody

Descripción
This antibody is predicted to react with mouse and canine based on 100% sequence homology. This antibody has 94% sequence homology with rat. Suggested positive control: human stomach protein, stomach tissue lysate. Immunogen sequence homology: orangutan (82%).
SLC7A11 (also known as XCT) is a member of a hetromeric, sodium-independent, anionic amino acid transport system. It is highly specific for cysteine and glutamate. SLC7A11 is a mediator of Kaposi sarcoma-associated herpes virus fusion and entry into cells. Increased expression of this protein in primary gliomas is associated with neuronal cell death.
Especificaciones
Especificaciones
| Antígeno | SLC7A11 |
| Aplicaciones | Flow Cytometry, Immunohistochemistry (Paraffin), Western Blot, Immunocytochemistry |
| Clasificación | Polyclonal |
| Concentración | 1 mg/mL |
| Conjugado | Unconjugated |
| Formulación | PBS with 0.02% sodium azide |
| génica | SLC7A11 |
| N.º de referencia del gen | Q9UPY5, Q9WTR6 |
| Alias de gen | 9930009M05Rik; AI451155; Amino acid transport system xc-; calcium channel blocker resistance protein CCBR1; CCBR1; cysteine/glutamate transporter; cystine/glutamate transporter; SLC7A11; sodium independent anionic amino acid transport system; solute carrier family 7 (anionic amino acid transporter light chain, xc- system), member 11; solute carrier family 7 (cationic amino acid transporter, y+ system), member 11; solute carrier family 7 member 11; solute carrier family 7, (cationic amino acid transporter, y+ system) member 11; sut; xCT |
| Símbolos de los genes | SLC7A11 |
| Mostrar más |
Título del producto
Al hacer clic en Enviar, acepta que Fisher Scientific se ponga en contacto con usted en relación con los comentarios que ha proporcionado en este formulario. No compartiremos su información para ningún otro fin. Toda la información de contacto proporcionada se mantendrá de acuerdo con nuestra Política de Privacidad. Política de privacidad.
¿Detecta una oportunidad de mejora?