missing translation for 'onlineSavingsMsg'
Learn More
Learn More
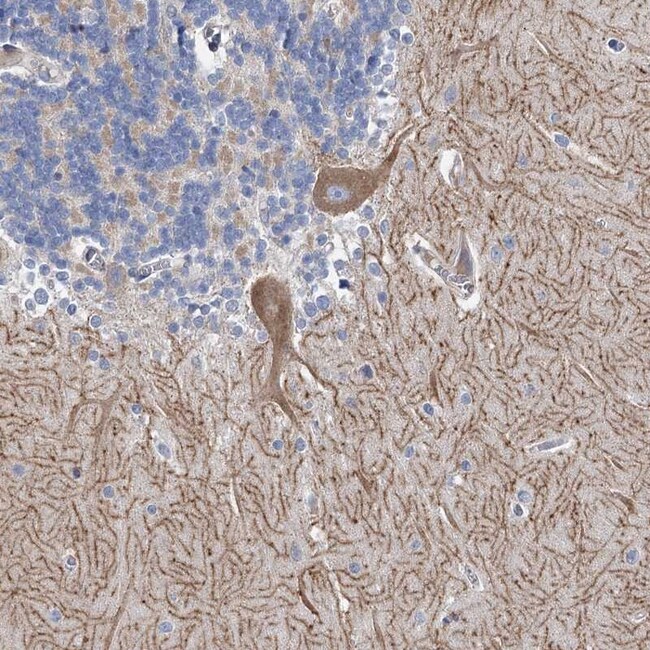
Invitrogen™ ANKRD16 Polyclonal Antibody

Rabbit Polyclonal Antibody
Marca: Invitrogen™ PA558166
Este artículo no se puede devolver.
Vea la política de devoluciones
Descripción
Immunogen sequence: WTPLMMACTR KNLGVIQELV EHGANPLLKN KDGWNSFHIA SREGDPLILQ YLLTVCPGAW KTESKIRRTP LHTAAMHGHL EAVKVLL Highest antigen sequence identity to the following orthologs: Mouse - 90%, Rat - 89%.
Required to prevent the misactivation of serine (Ser) with tRNA(Ala) by promoting the hydrolysis of Ser-mischarged tRNA(Ala), thereby playing a role in translational fidelity. Binds directly to the catalytic domain of AARS/AlaRS and captures Ser that is misactivated by AARS/AlaRS, preventing the charging of Ser adenylates to tRNA(Ala) and precluding Ser misincorporation in nascent peptides. [UniProt].
Especificaciones
| ANKRD16 | |
| Polyclonal | |
| Unconjugated | |
| ANKRD16 | |
| 2810455F06Rik; AI646698; Ankrd16; ankyrin repeat domain 16; ankyrin repeat domain-containing protein 16; D430029B21Rik; hypothetical protein LOC550225; si:dkey-108d22.7; Unknown (protein for MGC:143369); zgc:110558 | |
| Rabbit | |
| Antigen affinity chromatography | |
| RUO | |
| 54522 | |
| Store at 4°C short term. For long term storage, store at -20°C, avoiding freeze/thaw cycles. | |
| Liquid |
| Immunohistochemistry (Paraffin), Immunocytochemistry | |
| 0.05 mg/mL | |
| PBS with 40% glycerol and 0.02% sodium azide; pH 7.2 | |
| Q6P6B7 | |
| ANKRD16 | |
| Recombinant protein corresponding to Human ANKRD16. Recombinant protein control fragment (Product #RP-97078). | |
| 100 μL | |
| Primary | |
| Human | |
| Antibody | |
| IgG |
Corrección del contenido de un producto
Proporcione sus comentarios sobre el contenido del producto rellenando el siguiente formulario.
Título del producto
¿Detecta una oportunidad de mejora?Comparta una corrección de contenido