missing translation for 'onlineSavingsMsg'
Learn More

Actin Monoclonal Antibody (ACTN05 (C4)), Biotin, Invitrogen™

Código de producto. 15924344
Change view
Click to view available options
Cantidad:
500 μL
Tamaño de la unidad:
500 microlitros
1 product options available for selection
Product selection table with 1 available options. Use arrow keys to navigate and Enter or Space to select.
Código de producto. Cantidad unitSize
15924344 500 μL 500 microlitros
Use arrow keys to navigate between rows. Press Enter or Space to select a product option. 1 options available.
1 options
Este artículo no se puede devolver. Vea la política de devoluciones
Código de producto. 15924344 Proveedor Invitrogen N.º de proveedor MA511866

Por favor, para comprar este producto. ¿No tiene usuario web? Regístrese hoy mismo.

Este artículo actualmente no está disponible o ha sido discontinuado.
Ver la página del producto para posibles alternativas
Ver productos alternativos

Este artículo no se puede devolver. Vea la política de devoluciones

Mouse Monoclonal Antibody

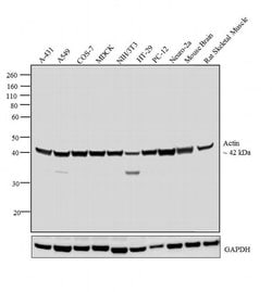
This antibody reacts with all six known vertebrate isoforms of actin (MW ∽42 kDa), as well as cytoplasmic actin beta and actin gamma. This antibody is highly recommended for monitoring total protein load on Western blots. Staining of formalin-fixed, paraffin-embedded tissues requires boiling tissue sections in 10mM citrate buffer, pH 6.0 for 10-20 minutes, followed by cooling at room temperature for 20 minutes. Suggested positive controls are HeLa cells and skeletal muscle.

Actin exists as a ubiquitous protein involved with filament formation that make up large portions of the cytoskeleton. Actin filaments interact with myosin to assist in muscle contraction as well as aiding in cell motility and cytokinesis. In vertebrates there are three groups of actin isoforms: alpha, beta and gamma. The alpha actins are found in muscle tissues and are a major constituent of the contractile apparatus. The beta and gamma actins co-exists in most cell types as components of the cytoskeleton and as mediators of internal cell motility.
TRUSTED_SUSTAINABILITY

Especificaciones

Antígeno Actin
Aplicaciones Immunocytochemistry, Immunohistochemistry (Paraffin), Immunoprecipitation, Western Blot
Clasificación Monoclonal
Clon ACTN05 (C4)
Concentración 0.2 mg/mL
Conjugado Biotin
Formulación PBS with 0.2% BSA and 15mM sodium azide; pH 7.4
génica Acta1
N.º de referencia del gen O18840, P08023, P29751, P60706, P60709, P60710, P60711, P60712, P62736, P62737, P62738, P62739, P62740, P63258, P63259, P63260, P63261, P63267, P63268, P63269, P63270, P68032, P68033, P68034, P68035, P68133, P68134, P68135, P68136, P68137, P68138, P68139, Q3ZC07, Q5E9B5, Q5ZMQ2, Q6QAQ1
Alias de gen 0610041G09Rik; 5C actin; A; A4V404_DROME; AA959943; a-actin; AAT6; Ac5C; act; act 5C; ACT1_DROME; Act4; ACT-4; Act5; ACT-5; Act5c; Act-5C; Act5C-PA; Act5C-PB; Act5C-PC; Act5C-PD; Act5C-PE; acta; ACTA1; ACTA1 protein; acta1.S; acta2; Acta-2; ACTA3; ACTB; actb.L; ACTC; ACTC1; Actc-1; ACTE; Actg; ACTG1; Actg2; ACTGE; Actin; actin 5 C; actin 5c; actin A1; actin alpha 1; actin alpha 1, skeletal muscle; actin alpha 2, smooth muscle; actin alpha cardiac; actin alpha cardiac 1; actin alpha cardiac muscle 1; actin beta; actin gamma 1; actin gamma 2, smooth muscle; actin homolog; actin, alpha 1, skeletal muscle; actin, alpha 1, skeletal muscle S homeolog; actin, alpha 2, smooth muscle, aorta; actin, alpha cardiac muscle 1; Actin, alpha cardiac muscle 1, intermediate form; Actin, alpha skeletal muscle; actin, alpha skeletal muscle S homeolog; Actin, alpha skeletal muscle, intermediate form; actin, alpha, cardiac 1; actin, alpha, cardiac muscle; actin, alpha, cardiac muscle 1; actin, alpha, vascular smooth muscle; Actin, aortic smooth muscle; Actin, aortic smooth muscle, intermediate form; actin, beta; actin, beta L homeolog; actin, beta, cytoplasmic; actin, cytoplasmic 1; Actin, cytoplasmic 1, N-terminally processed; Actin, cytoplasmic 2; Actin, cytoplasmic 2, N-terminally processed; Actin, cytoplasmic type 5; actin, cytoplasmic, type 5; actin, gamma 1; actin, gamma 1 propeptide; actin, gamma 2; actin, gamma 2, smooth muscle, enteric; actin, gamma, cytoplasmic 1; actin, gamma-enteric smooth muscle; Actin, gamma-enteric smooth muscle, intermediate form; Actin/BAP47; Actin5C; Actin-5C; actin-like protein; Actl; ACTL3; Acts; ACTSA; ACTSG; Actsk-1; Actvs; Actx; AL023024; alpha 1 skeletal muscle actin; alpha actin; alpha actin 1; alpha actin 2; alpha-actin; alpha-actin cardiac; alpha-actin-1; Alpha-actin-2; alpha-actin-3; alphac-actin; Alpha-cardiac actin; alphaSMA; alpha-sma; alpha-smooth muscle actin; anon-EST:fe2D2; anon-fast-evolving-2D2; ArpA; ASD5; asma; a-SMA; Atcb; Bact; Bact; actin; B-actin; Bap47; beta actin; beta cytoskeletal actin; beta-actin; beta-actin FE-3; beta-actin/Bap47; BRWS1; BRWS2; cardiac actin; cardiac muscle alpha actin 1; cell growth-inhibiting gene 46 protein; cellular cytoskeletal beta-actin; CFTD; CFTD1; CFTDM; CG4027; CG4027-PA; CG4027-PB; CG4027-PC; CG4027-PD; CG4027-PE; chrX:5748184..5748304; CMD1R; CMH11; cyt5C; cytoplasmic 1; cytoplasmic 2; cytoplasmic actin; cytoplasmic beta-actin; cytoplasmic type 5; cytoskeletal beta actin; cytoskeletal gamma-actin; cytoskeletal protein; deafness, autosomal dominant 20; deafness, autosomal dominant 26; DFNA20; DFNA26; Dm-actin5C; Dmel\CG4027; Dmel_CG4027; E430023M04Rik; E51; epididymis luminal protein 176; F-actin; G-actin; gamma 1 propeptide; gamma non-muscle actin; gamma-2-actin; Gamma-actin; gamma-enteric smooth muscle actin; GIG46; HEL-176; hypothetical protein LOC515610; I79_002310; I79_013242; I79_019066; l(1)G0009; l(1)G0010; l(1)G0025; l(1)G0079; l(1)G0117; l(1)G0177; l(1)G0245; l(1)G0330; l(1)G0420; l(1)G0486; LOW QUALITY PROTEIN: actin, alpha skeletal muscle; LOW QUALITY PROTEIN: actin, aortic smooth muscle; LVNC4; M32055; mpfd; MYMY5; NEM1; NEM2; NEM3; nemaline myopathy type 3; pan actin; PS1TP5-binding protein 1; PS1TP5BP1; RE02927p; RP5-1068B5.2; SHPM; similar to b-actin; similar to beta actin; skeletal alpha actin; sma; SMalphaA; SMGA; smooth muscle alpha-actin; smooth muscle gamma-actin; T11; type 5; unnamed protein product; vascular smooth muscle alpha-actin; VSCM; wu:fb63d03; XELAEV_18029136mg; XELAEV_18045052mg
Símbolos de los genes Acta1, ACTA2, ACTB, ACTC1, ACTG1, ACTG2
Especie del huésped Mouse
Inmunógeno Chicken gizzard actin
Método de purificación Protein G
Cantidad 500 μL
Estado normativo RUO
Primario o secundario Primary
ID de gen (Entrez) 100009271, 100009272, 100009506, 100152267, 100154254, 100340339, 100350318, 100520667, 11459, 11461, 11464, 11465, 11468, 11475, 25365, 280979, 281592, 281595, 287876, 29275, 29437, 396084, 396526, 397653, 403580, 404122, 414396, 415296, 421534, 423298, 423787, 475792, 475923, 477587, 478250, 488984, 515610, 533219, 58, 59, 60, 70, 71, 72, 733615, 81633, 81822
Especies diana Bovine, Canine, Chicken, Human, Mouse, Non-human Primate, Pig, Protozoa, Rabbit, Rat
Contenido y almacenamiento 4° C
Tipo de producto Antibody
Formulario Liquid
Isotype IgG1 κ
Mostrar más Mostrar menos
Título del producto
Seleccione un problema

Al hacer clic en Enviar, acepta que Fisher Scientific se ponga en contacto con usted en relación con los comentarios que ha proporcionado en este formulario. No compartiremos su información para ningún otro fin. Toda la información de contacto proporcionada se mantendrá de acuerdo con nuestra Política de Privacidad. Política de privacidad.