missing translation for 'onlineSavingsMsg'
Learn More
Learn More
Invitrogen™ ABHD4 Polyclonal Antibody

Rabbit Polyclonal Antibody
Marca: Invitrogen™ PA551421
Este artículo no se puede devolver.
Vea la política de devoluciones
Descripción
Immunogen sequence: ADDLEQQSQG WLSSWLPTWR PTSMSQLKNV EARILQCLQN KFLARYVSLP NQNKIWTVTV SPEQNDRTPL VMVHGFGGGV GLWILNMDSL SARRTLHTFD LLGFGRSSRP AFPRDPEGAE DEFVTSIETW RETMGIPSMI LLGHSLGGF Highest antigen sequence identity to the following orthologs: Mouse - 97%, Rat - 97%.
The α/β hydrolase superfamily is comprised of diverse members that are involved in important biochemical processes and related to various diseases. They have unrelated sequences, various substrates, and different kinds of catalytic activities, yet they share the same canonical α/β hydrolase fold, which consists of an eight-stranded parallel α/β structure. They are also characterized by a catalytic triad composed of a histidine, an acid and a nucleophile. Members of this superfamily are often drug targets for treating diseases, such as diabetes, Alzheimer's disease, obesity and blood clotting disorders. ABHD1 plays a role in metabolizing smoking xenobiotics. ABHD2 participates in the development of atherosclerosis. ABHD4 is involved in an alternative synthesis pathway of NAE. ABHD4 is a lysophospholipase selective for N-acyl phosphatidylethanolamine (NAPE) which participates in the biosynthesis of N-acyl ethanolamines. Mutations in ABHD5 contribute to Chanarin-Dorfman syndrome. ABDH6 may play a role in nervous system metabolism and signaling. ABHD14A is possibly involved in granule neuron development.
Especificaciones
| ABHD4 | |
| Polyclonal | |
| Unconjugated | |
| ABHD4 | |
| (Lyso)-N-acylphosphatidylethanolamine lipase; (Lyso)-N-acylphosphatidylethanolamine lipase; protein ABHD4; 1110035H23Rik; Abh4; Abhd4; abhydrolase domain containing 4; abhydrolase domain containing 4, N-acyl phospholipase B; abhydrolase domain-containing protein 4; AI429574; Alpha/beta hydrolase domain-containing protein 4; alpha/beta-hydrolase 4; hypothetical protein LOC509896; lyso-N-acylphosphatidylethanolamine lipase; protein ABHD4 | |
| Rabbit | |
| Antigen affinity chromatography | |
| RUO | |
| 63874 | |
| Store at 4°C short term. For long term storage, store at -20°C, avoiding freeze/thaw cycles. | |
| Liquid |
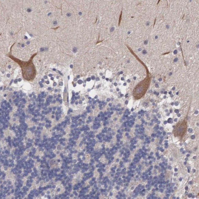
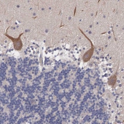
| Immunohistochemistry (Paraffin), Western Blot, Immunocytochemistry | |
| 0.2 mg/mL | |
| PBS with 40% glycerol and 0.02% sodium azide; pH 7.2 | |
| Q8TB40 | |
| ABHD4 | |
| Recombinant protein corresponding to Human ABHD4. Recombinant protein control fragment (Product #RP-88857). | |
| 100 μL | |
| Primary | |
| Human | |
| Antibody | |
| IgG |
Corrección del contenido de un producto
Proporcione sus comentarios sobre el contenido del producto rellenando el siguiente formulario.
Título del producto
¿Detecta una oportunidad de mejora?Comparta una corrección de contenido